Sinusitis etmoidal con absceso subperióstico
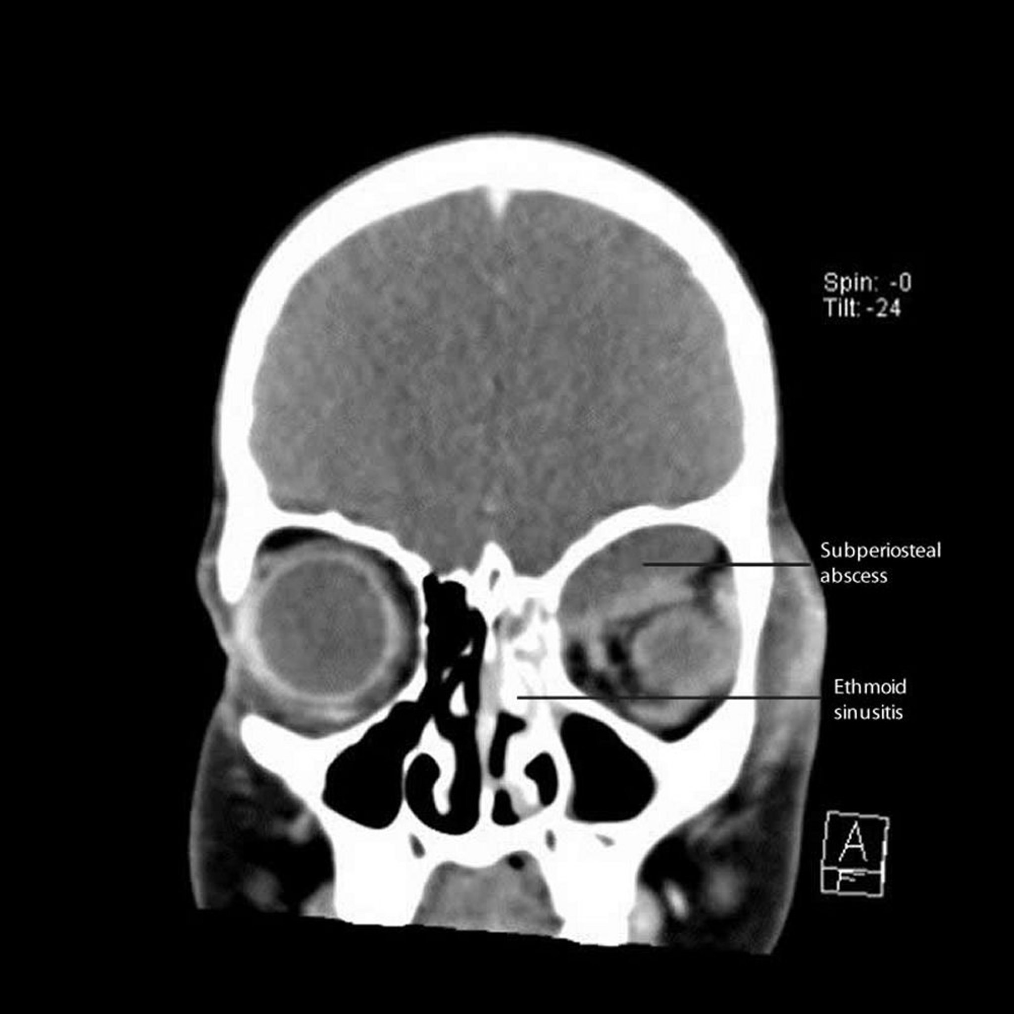
Esta TC muestra una sinusitis etmoidal izquierda con absceso subperióstico adyacente a lo largo de la pared medial y el techo de la órbita.
CT courtesy of James Garrity, MD.
En estos temas
Esta TC muestra una sinusitis etmoidal izquierda con absceso subperióstico adyacente a lo largo de la pared medial y el techo de la órbita.
CT courtesy of James Garrity, MD.