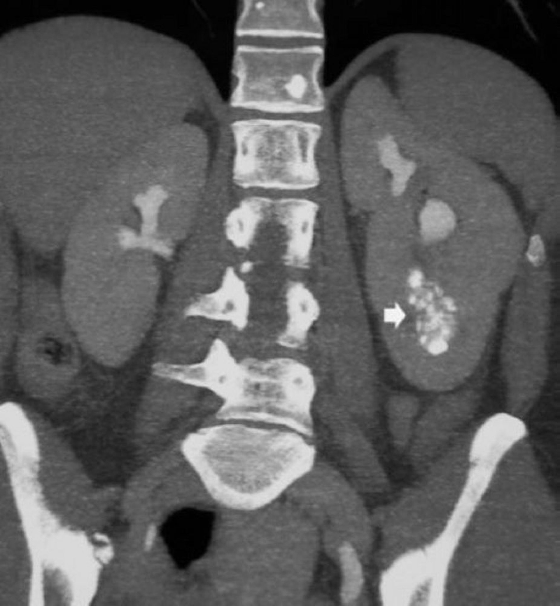
TC coronal sin contraste que muestra nefrocalcinosis medular
Esta imagen muestra la nefrocalcinosis medular y los conductos colectores dilatados llenos de material decontraste en un paciente con nefropatia quística medular (riñón esponjoso mdular) (flecha).
© Springer Science+Business Media
En estos temas
