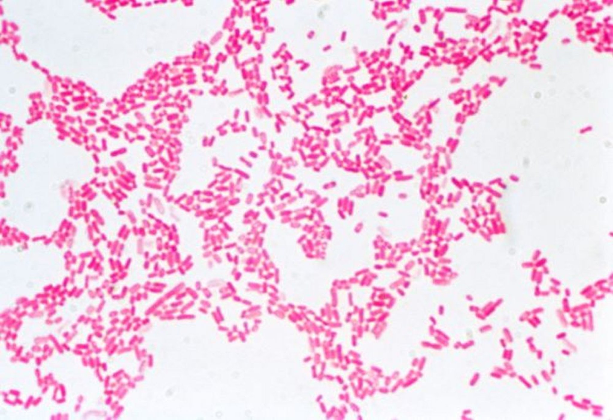
Tinción de Gram (Escherichia coli)
Esta imagen es una microfotografía óptica de tinción de Gram de bacterias móviles en forma de bastón de tipo E. coli, Su color rojo indica que son gramnegativos. El aumento es de 400X con un tamaño de 35 mm.
DR. ROSALIND KING/SCIENCE PHOTO LIBRARY
En estos temas
