honeypot link
skip to main content
MerckManual MerckVersión para profesionales
TEMAS MÉDICOSRECURSOSCOMENTARIOPROCEDIMIENTOS Y EXÁMENESCUESTIONARIOSACERCA DE
homeTEMAS MÉDICOSRECURSOS
Search icon
  1. PROFESIONAL/
  2. Imágenes/
  3. Tomografía computarizada sin contraste de abdomen y pelvis que muestra anatomía normal (corte 21)/
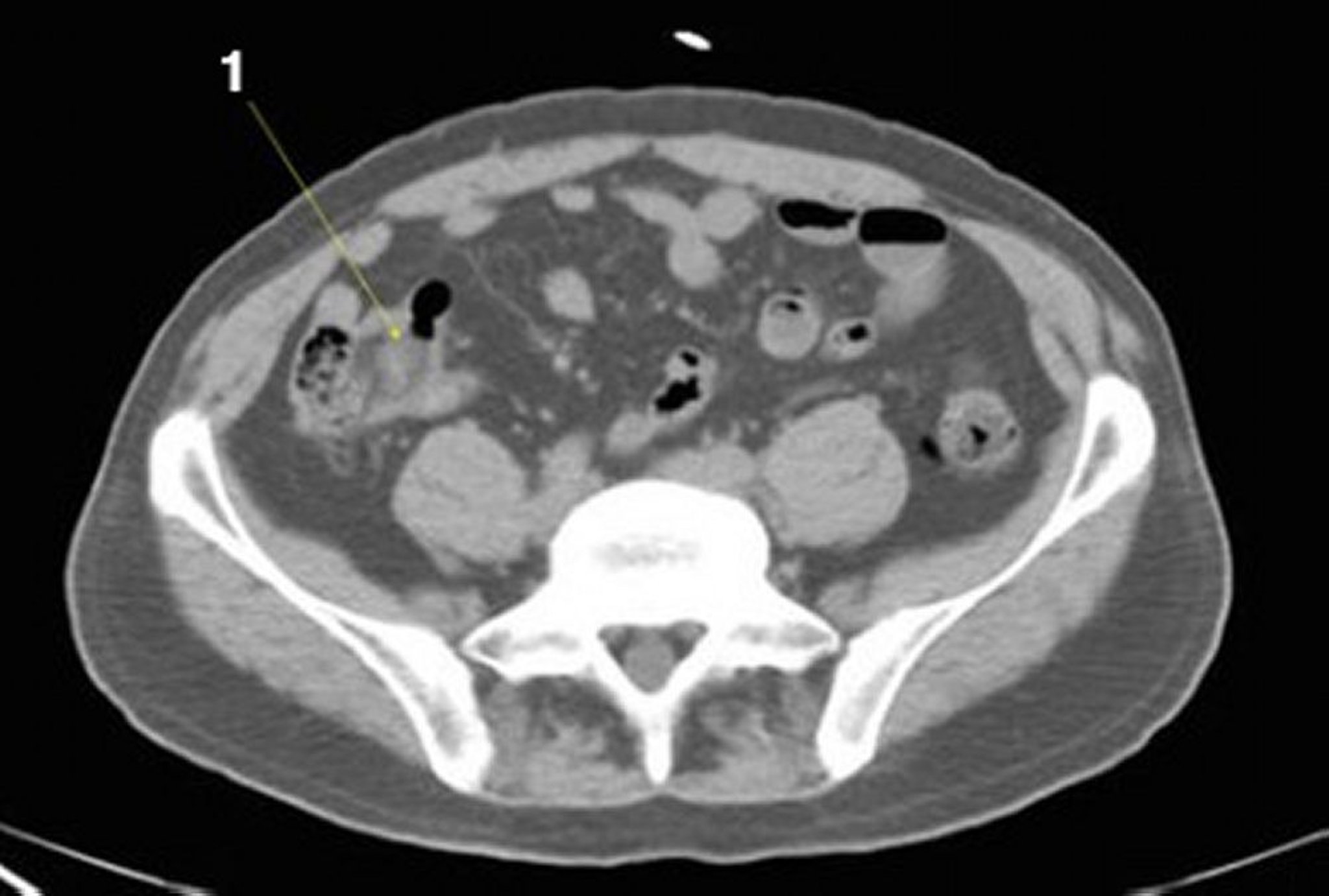
    Tomografía computarizada sin contraste de abdomen y pelvis que muestra anatomía normal (corte 21)

    Tomografía computarizada sin contraste de abdomen y pelvis que muestra anatomía normal (corte 21)

    1 = íleon.

    © Springer Science+Business Media

    En estos temas
    • Evaluación del paciente con trastornos digestivos >
    Merck
    • Acerca de
    • Descargo de responsabilidad
    • Permisos
    • Aviso de privacidad
    • Cookie Preferences
    • Términos y condiciones de uso
    • Licencias & Comerciales
    • Comuníquese con nosotros
    • Manual de veterinaria (inglés solamente)
    • Aplicaciones móviles
    This icon serves as a link to download the eSSENTIAL Accessibility assistive technology app for individuals with physical disabilities. It is featured as part of our commitment to diversity and inclusion.
    This icon serves as a link to download the eSSENTIAL Accessibility assistive technology app for individuals with physical disabilities. It is featured as part of our commitment to diversity and inclusion.
    Merck

    Copyright© 2025Merck & Co., Inc., Rahway, NJ, USA y sus empresas asociadas. Todos los derechos reservados.