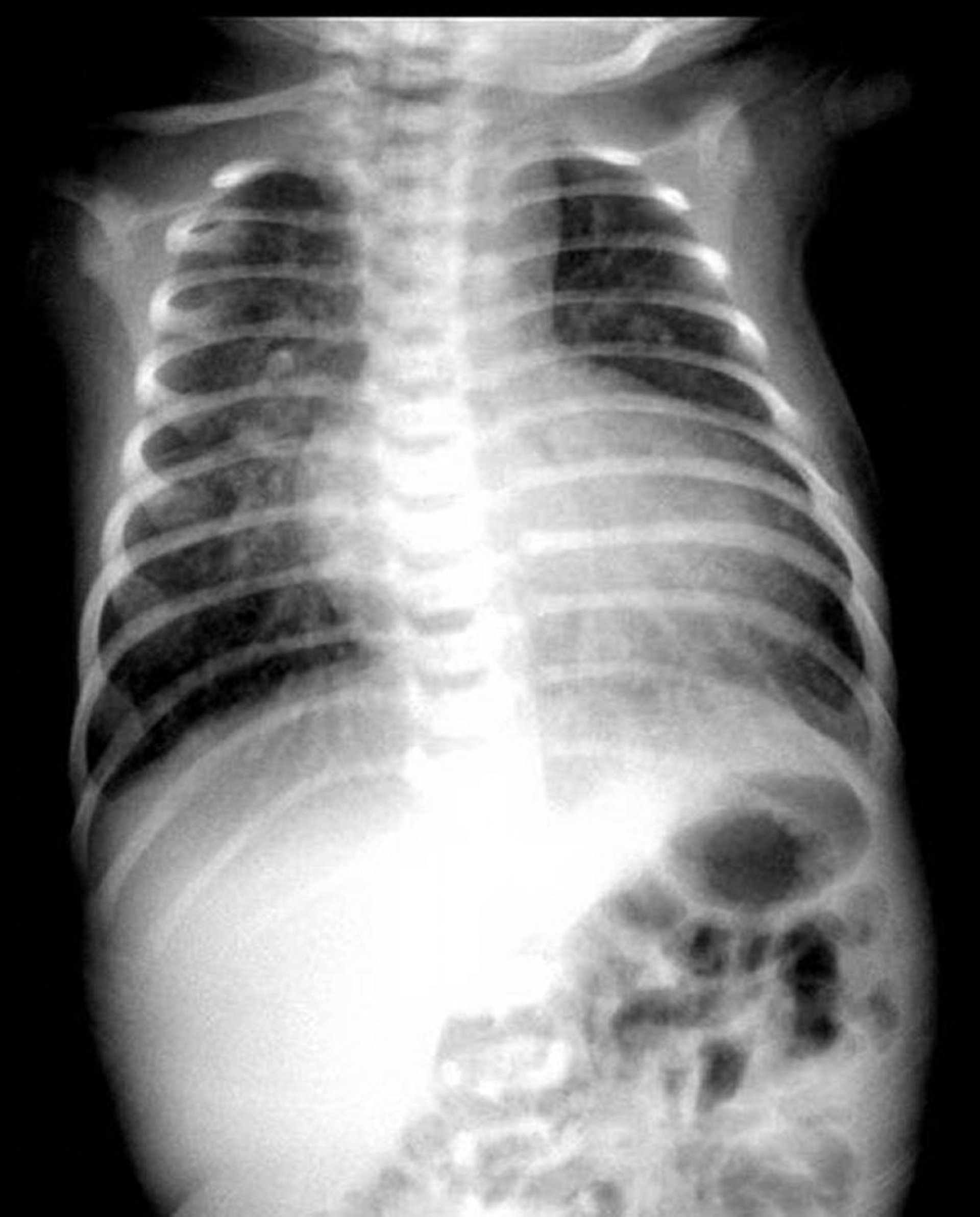
Trasposición de las grandes arterias
Radiografía de tórax que muestra el aspecto clásico de huevo en una cuerda en un paciente con transposición de las grandes arterias.
Imagen proporcionada por Jeanne Marie Baffa, MD.
En estos temas
Radiografía de tórax que muestra el aspecto clásico de huevo en una cuerda en un paciente con transposición de las grandes arterias.
Imagen proporcionada por Jeanne Marie Baffa, MD.