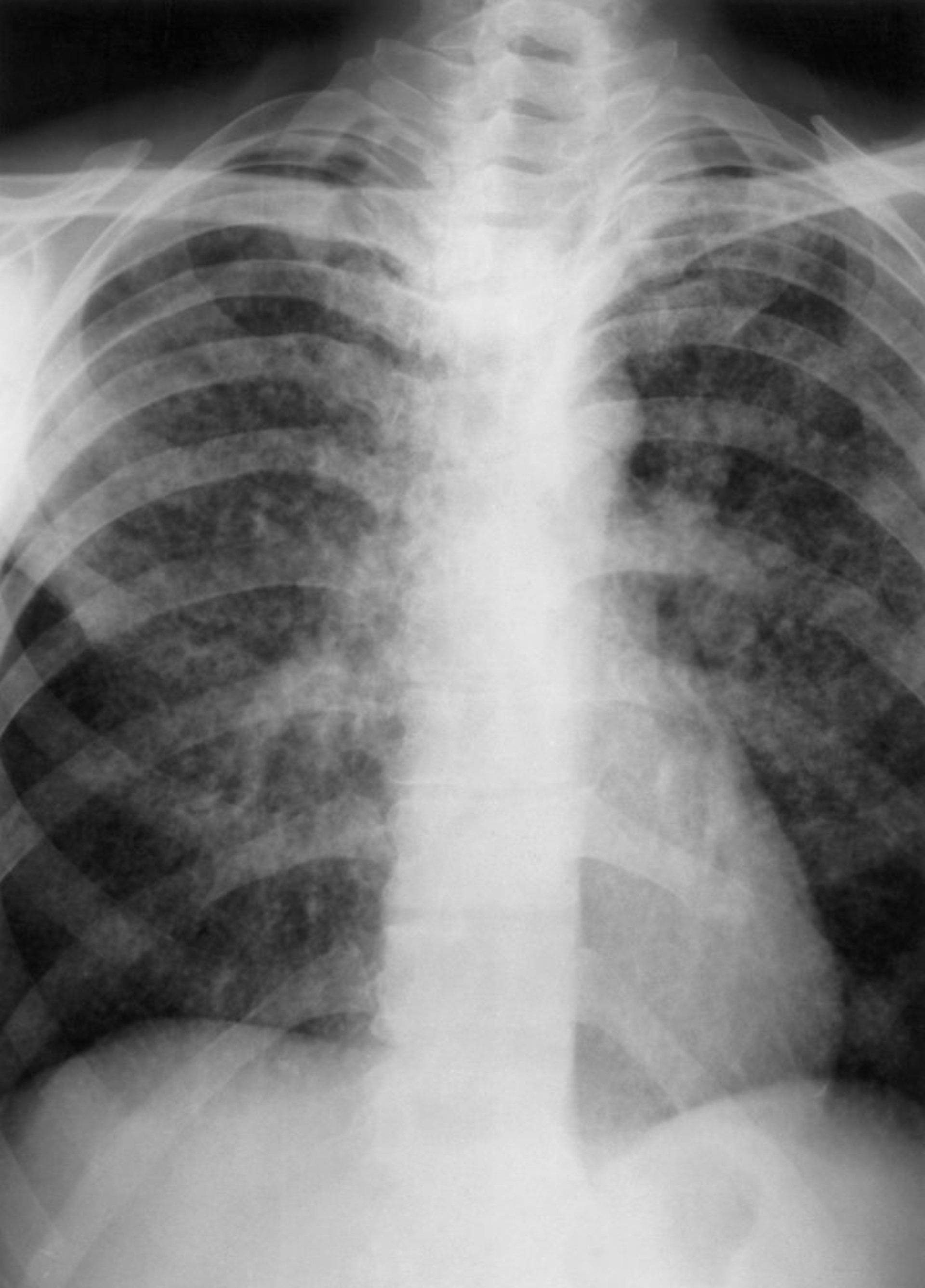
Tuberculosis miliar
Esta radiografía de tórax muestra hallazgos que sugieren tuberculosis miliar, incluidos nódulos intersticiales diminutos (p. ej., de 2 a 3 mm) distribuidos en ambos pulmones.
BIOPHOTO ASSOCIATES/SCIENCE PHOTO LIBRARY
En estos temas
