Hernia diafragmática

PorJaime Belkind-Gerson, MD, MSc, University of Colorado
Reviewed ByAlicia R. Pekarsky, MD, State University of New York Upstate Medical University, Upstate Golisano Children's Hospital
Revisado/Modificado Modificado ago 2025
v8355609_es
Vista para pacientes

La hernia diafragmática es el desplazamiento del contenido abdominal hacia el tórax a través de un defecto del diafragma. La hipoplasia pulmonar puede causar hipertensión pulmonar. El diagnóstico se realiza mediante ecografía fetal, radiografía de tórax, u otras técnicas de diagnóstico por imágenes avanzadas. El tratamiento consiste en reparación quirúrgica y tratamiento a largo plazo.

(Véase también Generalidades sobre las anomalías digestivas congénitas).

La hernia diafragmática, también llamada hernia diafragmática congénita, se localiza en la porción posterolateral del diafragma (hernia de Bochdalek) en el 95% de los casos y del lado izquierdo en el 85% de los casos; en el 2% de los casos es bilateral (1). La prevalencia estimada de nacimiento es de aproximadamente 1 de cada 4000 nacidos vivos (2). Las hernias anteriores (hernias de Morgagni) son bastante menos frecuentes (5% de los casos). Otras anomalías congénitas, en particular la cardiopatía congénita, están presentes en aproximadamente el 50% de los casos (3).

Pueden protruir asas de intestino delgado y grueso, el estómago, el hígado y el bazo en el hemitórax del lado comprometido. Si la hernia es grande y la cantidad de contenido abdominal herniado es importante, hay hipoplasia del pulmón del lado afectado; sin embargo, el pulmón del lado opuesto también puede verse afectado negativamente. Otras consecuencias pulmonares son hipodesarrollo de la vasculatura pulmonar, con el consiguiente aumento de la resistencia vascular pulmonar y, por ende, hipertensión pulmonar. La hipertensión pulmonar puede conducir a un cortocircuito derecha-izquierda a nivel del foramen oval o a través de un conducto arterioso permeable; tanto la hipoplasia pulmonar como la hipertensión pulmonar impiden la oxigenación adecuada, incluso con suplementación de oxígeno o ventilación mecánica. Además, las alteraciones de la contractilidad miocárdica añaden complejidad al manejo y contribuyen a la mortalidad y a la morbilidad (4).

Referencias generales

  1. 1. Deprest JA, Nicolaides KH, Benachi A, et al. Randomized Trial of Fetal Surgery for Severe Left Diaphragmatic Hernia. N Engl J Med. 2021;385(2):107-118. doi:10.1056/NEJMoa2027030

  2. 2. Paoletti M, Raffler G, Gaffi MS, Antounians L, Lauriti G, Zani A. Prevalence and risk factors for congenital diaphragmatic hernia: A global view. J Pediatr Surg. 2020;55(11):2297-2307. doi:10.1016/j.jpedsurg.2020.06.022

  3. 3. Longoni M, Pober BR, High FA. Congenital Diaphragmatic Hernia Overview. 2006 Feb 1 [Updated 2020 Nov 5]. In: Adam MP, Feldman J, Mirzaa GM, et al., editors. GeneReviews® [Internet]. Seattle (WA): University of Washington, Seattle; 1993-2025.

  4. 4. Zani A, Chung WK, Deprest J, et al. Congenital diaphragmatic hernia. Nat Rev Dis Primers. 2022;8(1):37. Published 2022 Jun 1. doi:10.1038/s41572-022-00362-w

Síntomas y signos de la hernia diafragmática

Se presenta dificultad respiratoria por lo general en las primeras horas después del nacimiento y en los casos más graves inmediatamente después del parto. Después del parto, cuando el recién nacido llora y traga aire, el estómago y las asas intestinales se llenan de aire y se dilatan rápidamente, lo que causa mayor lesión respiratoria, porque el corazón y las estructuras mediastínicas son empujadas a la derecha (en presencia de la hernia del lado izquierdo, que es más frecuente) y comprimen el pulmón derecho más normal. Es probable observar un abdomen escafoideo (debido al desplazamiento de las vísceras abdominales al tórax). Pueden auscularse ruidos hidroaéreos (y ausencia de murmullo vesicular) en el hemitórax afectado.

En casos menos graves, sobreviene dificultad respiratoria leve algunas horas o días más tarde, a medida que se produce herniación progresiva del contenido abdominal a través de un defecto diafragmático más pequeño.

En raras ocasiones, la presentación se retrasa hasta más tarde en la infancia, a veces después de una enteritis infecciosa, que causa una herniación repentina del intestino en el pecho.

Diagnóstico de la hernia diafragmática

  • A veces, por ecografía prenatal o RM fetal

  • Radiografía de tórax, TC de tórax y a veces RM

  • Ecocardiograma

En algunos casos, la hernia diafragmática puede diagnosticarse mediante ecografía prenatal (1), con estratificación de riesgo adicional disponible basada en la RM fetal (2).

En la sala de parto, se puede sospechar una hernia diafragmática cuando los recién nacidos con dificultad respiratoria tienen un abdomen escafoide (hundido).

Después del parto, el diagnóstico es por radiografía de tórax, que muestra el estómago y el intestino desplazados hacia el tórax. En un defecto grande, se observan numerosas asas intestinales llenas de aire que ocupan el hemitórax y desplazamiento contralateral del corazón y las estructuras mediastínicas. Si la radiografía se efectúa inmediatamente después del parto, antes de que el recién nacido haya tragado aire, el contenido abdominal se visualiza como una masa opaca y sin aire en el hemitórax.

Las imágenes transversales incluyendo TC y RM se utilizan para evaluar la localización del defecto, identificar el contenido abdominal específico en el tórax, aproximar los volúmenes pulmonares, planificar la cirugía y, en algunos recién nacidos, evaluar otros defectos congénitos (3). Se realiza ecocardiograma para detectar enfermedad cardíaca congénita asociada, particularmente si se está considerando oxigenación por membrana extracorpórea.

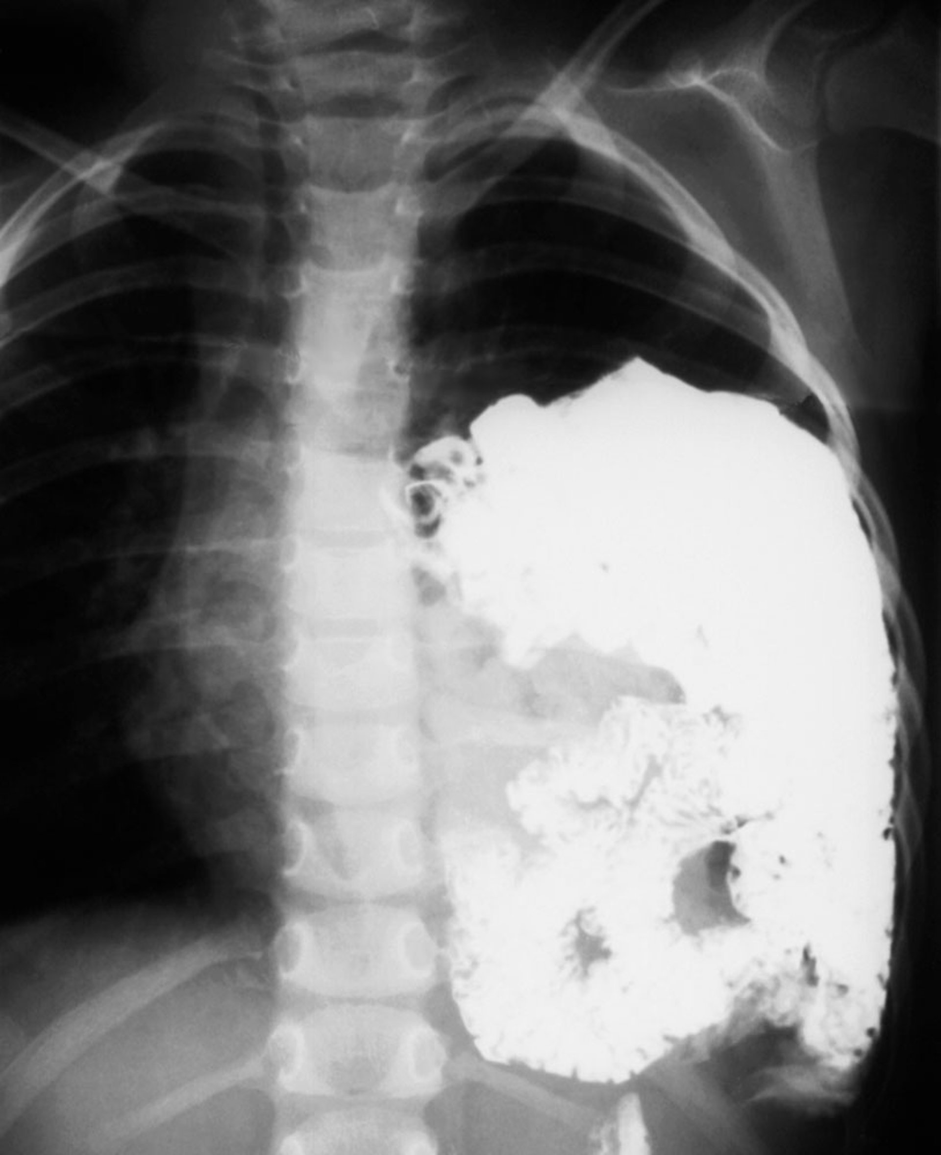
Hernia diafragmática
Ocultar los detalles

Esta radiografía muestra una hernia diafragmática congénita en un recién nacido. Los intestinos (asas blancas) sobresalen en el lado izquierdo del tórax (lado derecho de la radiografìa).

DU CANE MEDICAL IMAGING LTD/SCIENCE PHOTO LIBRARY

Referencias del diagnóstico

  1. 1. Cordier AG, Russo FM, Deprest J, et al. Prenatal diagnosis, imaging, and prognosis in congenital diaphragmatic hernia. Semin Perinatol. 2020;44(1):51163. doi:10.1053/j.semperi.2019.07.002

  2. 2. Zani A, Chung WK, Deprest J, et al. Congenital diaphragmatic hernia. Nat Rev Dis Primers. 2022;8(1):37. Published 2022 Jun 1. doi:10.1038/s41572-022-00362-w

  3. 3. Expert Panel on Gastrointestinal Imaging, Garcia EM, Pietryga JA, et al. ACR Appropriateness Criteria® Hernia. J Am Coll Radiol. 2022;19(11S):S329-S340. doi:10.1016/j.jacr.2022.09.016

Tratamiento de la hernia diafragmática

  • En ocasiones cirugía fetal

  • Planificación del parto con un equipo multidisciplinario y manejo de cuidados críticos

  • A veces oxigenación por membrana extracorpórea (OMEC)

  • Reparación quirúrgica

Si se diagnostica una hernia diafragmática en un feto, se recomienda el parto en un centro pediátrico con capacidad de ECMO debido a los desafíos inherentes del transporte. La oclusión traqueal endoluminal fetoscópica (FETO) puede realizarse en fetos seleccionados antes del parto (entre aproximadamente 27 a 34 semanas de edad gestacional) para inducir crecimiento pulmonar; este procedimiento está asociado con un beneficio de supervivencia en casos graves pero se asocia con riesgos significativos (1).

Si se sospecha una hernia diafragmática en un recién nacido con dificultad respiratoria, se debe realizar la intubación endotraqueal inmediata y establecerse la ventilación del recién nacido ya en la sala de partos. Se debe evitar la ventilación con bolsa y máscara, ya que puede llenar las vísceras intratorácica desplazadas con aire y empeorar el compromiso respiratorio. La aspiración nasogástrica continua con una sonda nasogástrica de doble luz impide que el aire deglutido progrese por el tubo digestivo y cause compresión pulmonar aún mayor.

El cuidado crítico preoperatorio involucra evaluación temprana y manejo de la hipertensión pulmonar con óxido nítrico inhalatorio y otros agentes (2, 3). Se optimiza el estado ácido-base, hemodinámico, de oxigenación y de ventilación del lactante. La insuficiencia suprarrenal que provoca hipotensión resistente a catecolaminas es frecuente (4). Pueden utilizarse estrategias ventilatorias convencionales o alternativas, como ventilación oscilatoria de alta frecuencia. ECMO se utiliza comúnmente como enfoque planificado para lactantes de mayor riesgo con hipoplasia pulmonar más grave o como enfoque de rescate para lactantes con hipoxemia refractaria o falla cardiorrespiratoria combinada.

Se requiere cirugía para reposicionar el contenido abdominal en el abdomen y cerrar el defecto diafragmático.

El manejo a largo plazo involucra cuidado continuo y multidisciplinario de pacientes con hipertensión pulmonar, secuelas de hipoplasia pulmonar, reflujo gastroesofágico u otra disfunción gastrointestinal, insuficiencia cardíaca, o anormalidades del neurodesarrollo.

Perlas y errores

  • Evitar la ventilación con bolsa y máscara en neonatos con dificultad respiratoria debido a la hernia diafragmática, ya que puede inflar aún más las vísceras intratorácicas desplazadas.

Referencias del tratamiento

  1. 1. Zani A, Chung WK, Deprest J, et al. Congenital diaphragmatic hernia. Nat Rev Dis Primers. 2022;8(1):37. Published 2022 Jun 1. doi:10.1038/s41572-022-00362-w

  2. 2. Puligandla P, Skarsgard E, Baird R, et al. Diagnosis and management of congenital diaphragmatic hernia: a 2023 update from the Canadian Congenital Diaphragmatic Hernia Collaborative. Arch Dis Child Fetal Neonatal Ed. 2024;109(3):239-252. Published 2024 Apr 18. doi:10.1136/archdischild-2023-325865

  3. 3. Snoek KG, Reiss IK, Greenough A, et al. Standardized Postnatal Management of Infants with Congenital Diaphragmatic Hernia in Europe: The CDH EURO Consortium Consensus - 2015 Update. Neonatology. 2016;110(1):66-74. doi:10.1159/000444210

  4. 4. Kamath BD, Fashaw L, Kinsella JP. Adrenal insufficiency in newborns with congenital diaphragmatic hernia. J Pediatr. 2010;156(3):495-497.e1. doi:10.1016/j.jpeds.2009.10.044

Conceptos clave

  • Un hernia diafragmática congénita puede permitir que el contenido abdominal ingrese en la cavidad torácica, comprimiendo el pulmón y causando dificultad respiratoria neonatal.

  • La hipoplasia pulmonar y la hipertensión pulmonar son frecuentes.

  • El diagnóstico se basa en estudios por imágenes prenatales y radiografía de tórax e imágenes transversales posnatales.

  • Tratar con intubación endotraqueal seguida de reparación quirúrgica; a menudo se requiere oxigenación con membrana extracorpórea.

quizzes_lightbulb_red
Test your KnowledgeTake a Quiz!
ANDROID iOS
ANDROID iOS
ANDROID iOS