La fibrosis y la calcificación pleurales suelen ser secuelas benignas de una inflamación pleural o por exposición al amianto.
La fibrosis y la calcificación pleurales pueden ser:
Posinflamatorias
Estos trastornos se sospechan y se diagnostican por los estudios por la imagen. El tratamiento de la fibrosis y la calcificación en sí suele ser innecesario. En raras ocasiones, áreas muy grandes y sintomáticas de fibrosis requieren extirpación quirúrgica.
Posinflamatorias
Con frecuencia, la inflamación pleural causa engrosamiento pleural agudo debido a la fibrosis. Las causas comunes de inflamación pleural incluyen infección no tratada, efectos adversos de medicamentos (p. ej., metilsergida), condiciones autoinmunes (p. ej., pleuritis reumatoide o enfermedad por IgG4), y exposiciones, incluyendo asbesto (enfermedad pleural benigna por asbesto). En algunos casos, el engrosamiento y la fibrosis se resuelven en gran medida, especialmente si se trata la enfermedad subyacente (p. ej., drenaje adecuado y antibióticos en la infección pleural). Algunos pacientes quedan con grados menores de engrosamiento pleural, que en general no produce síntomas ni deterioro de la función pulmonar. En otros casos, puede ocurrir fibrosis con engrosamiento pleural a largo plazo, que es progresiva y cada vez más sintomática. En ocasiones, el pulmón queda revestido por una capa pleural gruesa y fibrosa que limita la expansión ("pulmón atrapado"), desplaza el mediastino hacia el lado de la enfermedad y deteriora la función pulmonar.
La radiografía de tórax muestra la asimetría de los pulmones con pleura engrosada (pulmón atrapado). Puede ser difícil diferenciar en la radiografía el engrosamiento pleural localizado del líquido pleural tabicado, pero esta diferenciación se hace fácilmente con una TC.
Placas pleurales calcificadas en la pared torácica y el diafragma.
Image courtesy of David W. Cugell, MD.
La fibrosis pleural después de la inflamación puede, en ocasiones, calcificarse. La calcificación produce una imagen densa en la radiografía de tórax y casi siempre involucra a la pleura visceral. Las calcificaciones posinflamatorias son invariablemente unilaterales.
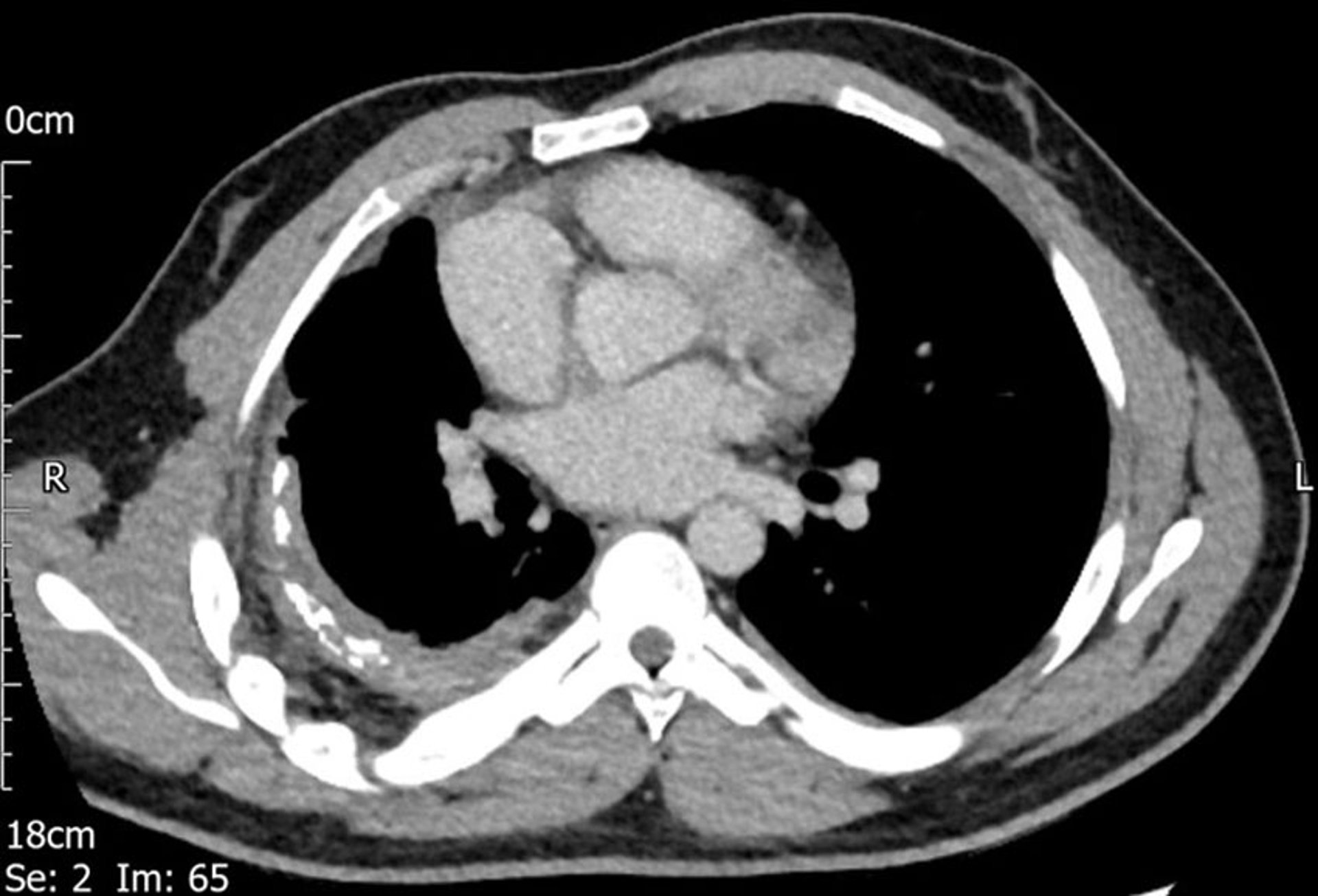
Relacionadas con el amianto
La exposición al amianto puede llevar a la fibrosis pleural focal, similar a una placa, a veces con calcificación, que aparece hasta ≥ 20 años después de la exposición inicial.
En esta TC se observa engrosamiento pleural en el lado derecho.
Image courtesy of Najib M. Rahman, BMBCh MA (oxon) DPhil.
El diagnóstico suele realizarse con radiografía de tórax. El diámetro de las placas puede variar desde varios milímetros a 10 cm. Puede ser afectada cualquier superficie pleural o pericárdica, pero las placas pleurales relacionadas con el amianto suelen encontrarse en los dos tercios inferiores del tórax y son bilaterales. La calcificación afecta con mayor frecuencia las pleuras parietal y diafragmática y respeta los surcos costofrénico y los vértices. La calcificación puede ser la única evidencia de la exposición. No obstante, tras la exposición al amianto puede haber fibrosis pleural densa que rodea el pulmón en su totalidad y > 1 cm de espesor.



