Hyphéma

(Hémorragie de la chambre antérieure)

ParJurij R. Bilyk, MD, Thomas Jefferson University Hospital
Révisé parDiane M. Birnbaumer, MD, David Geffen School of Medicine at UCLA
Revue/Révision complète Modifié oct. 2024
v23633956_fr
AFFICHER LA VERSION PROFESSIONNELLE

Un hyphéma est un saignement dans la chambre antérieure de l’œil (espace rempli de liquide entre la cornée transparente et l’iris pigmenté). Le saignement peut persister (saignements répétés) pendant plusieurs jours après la lésion.

  • Traitement

(Voir également Présentation des lésions oculaires.)

Un hyphéma disparaît généralement après un traitement médical, mais il nécessite une surveillance, car il peut entraîner une perte de vision permanente, partielle ou complète. La perte de la vision peut être provoquée par une pression élevée dans l’œil (glaucome), par du sang tachant la cornée ou les deux.

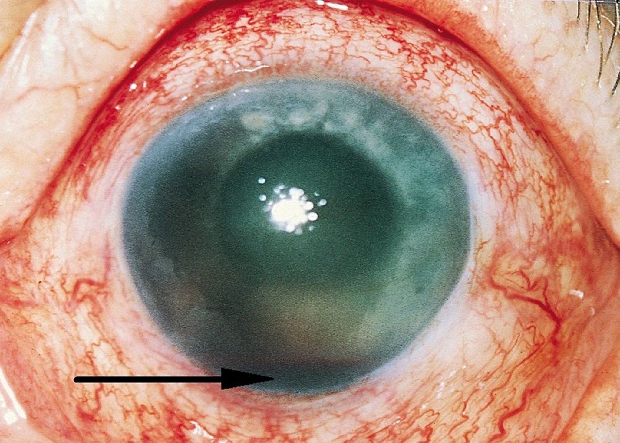
Vue à l’intérieur de l’œil

Les personnes souffrant d’hyphéma ont souvent une vision floue et ressentent une douleur lorsqu’elles sont exposées à une lumière vive. Si l’hyphéma est suffisamment important, une couche de sang est visible derrière la partie inférieure de la cornée quand les personnes se tiennent debout. Toutefois, il arrive que cette couche soit si mince qu’on ne peut la voir que sous une lentille grossissante.

Traitement de l’hyphéma

  • Alitement avec la tête surélevée

  • Protège-œil

  • Collyre

Les personnes présentant un hyphéma doivent être examinées par un ophtalmologue (médecin spécialisé dans l’évaluation et le traitement, chirurgical ou non, des troubles oculaires) dès que possible. Certaines personnes présentant des saignements sévères ou des troubles de la coagulation (qui rendent les saignements, ponctuels ou répétés, plus probables) ou qui prennent des médicaments pour prévenir ou traiter les caillots (anticoagulants) peuvent nécessiter un traitement à l’hôpital.

Le traitement consiste habituellement en repos alité avec la tête de lit surélevée pour aider l’arrêt du saignement. On administre souvent un collyre pour dilater la pupille (comme l’atropine) et réduire l’inflammation et les cicatrices à l’intérieur de l’œil (généralement des corticoïdes). Un protège-œil est appliqué avec de la bande adhésive pour éviter l’aggravation de la lésion.Le traitement consiste habituellement en repos alité avec la tête de lit surélevée pour aider l’arrêt du saignement. On administre souvent un collyre pour dilater la pupille (comme l’atropine) et réduire l’inflammation et les cicatrices à l’intérieur de l’œil (généralement des corticoïdes). Un protège-œil est appliqué avec de la bande adhésive pour éviter l’aggravation de la lésion.

Les médecins mesurent la pression à l’intérieur de l’œil au moins une fois par jour pendant les premiers jours. Cette mesure est indolore et s’effectue avec un instrument que l’on appelle tonomètre. Si la pression est élevée, les personnes peuvent avoir des nausées, des douleurs de l’œil et une baisse de la vision. L’ophtalmologue peut prescrire un collyre comme ceux que l’on utilise pour le glaucome afin de faire baisser la pression. La prise d’aspirine ou d’autres médicaments anti-inflammatoires non stéroïdiens, qui peuvent favoriser le saignement, doit être évitée pendant quelques semaines, si possible. Comme l’hyphéma augmente le risque chronique de développer un glaucome, les personnes qui en sont atteintes doivent se faire examiner les yeux chaque année.

Si le saignement est sévère ou récidive, un ophtalmologue peut administrer de l’acide aminocaproïque ou de l’acide tranexamique, des médicaments qui favorisent la coagulation sanguine. Dans de rares cas, si une récidive du saignement entraîne une augmentation de la pression intraoculaire, il faudra éventuellement drainer le sang par voie chirurgicale.

Informations sur le médicament pour le sujet

quizzes_lightbulb_red
TESTEZ VOS CONNAISSANCESTake a Quiz!
iOS ANDROID
iOS ANDROID
iOS ANDROID