honeypot link
skip to main content
MSDLe Manuel MerckVersion pour le grand public
SUJETS MÉDICAUX VIVRE EN BONNE SANTÉSYMPTÔMESURGENCESINFORMATIONS SUR LE MÉDICAMENTRESSOURCESCOMMENTAIREÀ PROPOS DE
homeSUJETS MÉDICAUX VIVRE EN BONNE SANTÉ
Search icon
  1. Accueil/
  2. Images/
  3. Ulcère gastrique/
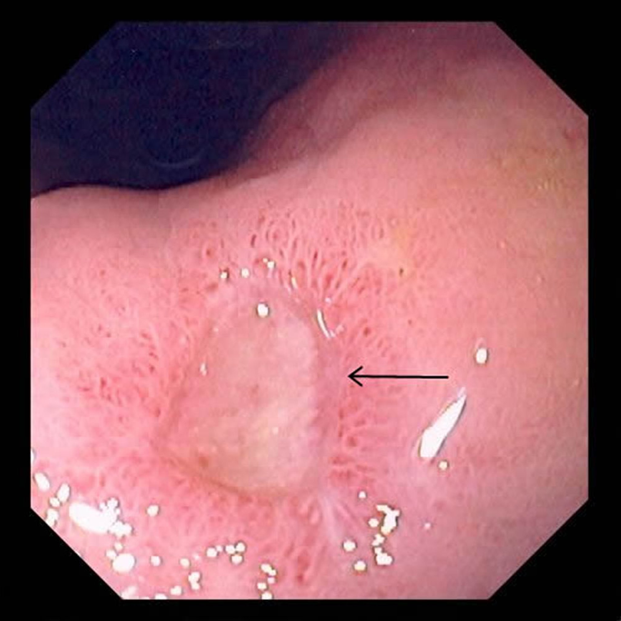
    Ulcère gastrique

    Ulcère gastrique

    Cette photographie montre un ulcère de grande taille (flèche) dans l’estomac.

    Photo fournie par le Dr David M. Martin.

    Dans ces sujets
    • Ulcère gastroduodénal >
    • Les faits en bref: Ulcère gastroduodénal >
    MSD
    Merck et les Manuels Merck
    • À PROPOS DE
    • Clause de non-responsabilité
    • Autorisations
    • Protection des Renseignements Personnels
    • Cookie Preferences
    • Conditions d'utilisation
    • Attribution de licences
    • Contactez-nous
    • Manuel vétérinaire (disponible seulement en anglais)
    • APPLICATIONS MOBILES
    MSD

    Copyright© 2025Merck & Co., Inc., Rahway, NJ, États-Unis et ses sociétés affiliées. Tous droits réservés.