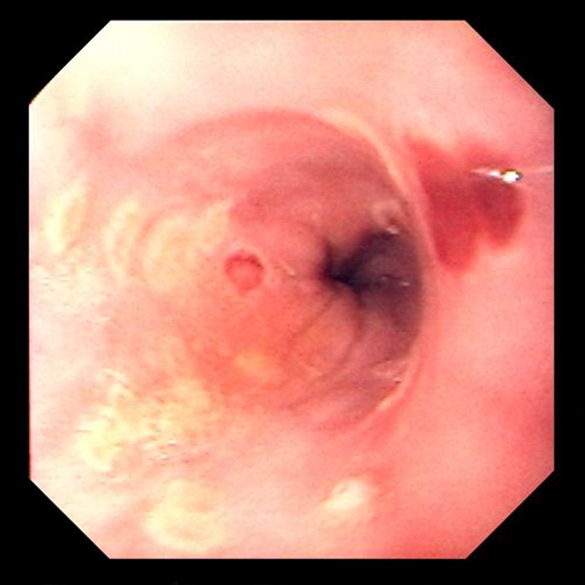
Œsophagite à herpès simplex
Les ulcérations focales sont typiques de l'œsophagite à virus herpes simplex.
Image provided by David M. Martin, MD.
Dans ces sujets
Les ulcérations focales sont typiques de l'œsophagite à virus herpes simplex.
Image provided by David M. Martin, MD.