Abcès cérébelleux

Abcès cérébelleux

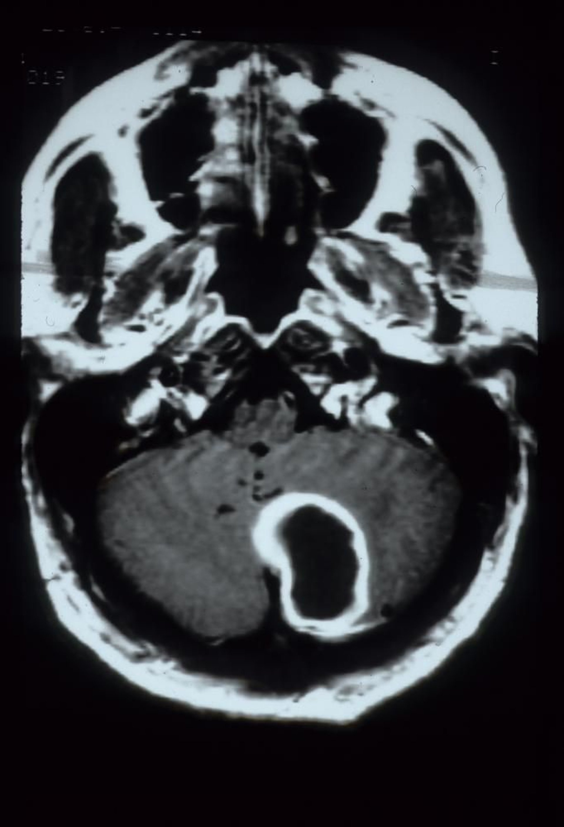
Cette IRM avec injection de gadolinium montre un abcès cérébelleux qui se présente sous la forme d'une lésion cavitaire de grande taille avec un contour qui prend le contraste dans l'hémisphère cérébelleux gauche.

Courtesy of John E. Greenlee, MD.

Dans ces sujets