Amygdalite aiguë

Amygdalite aiguë

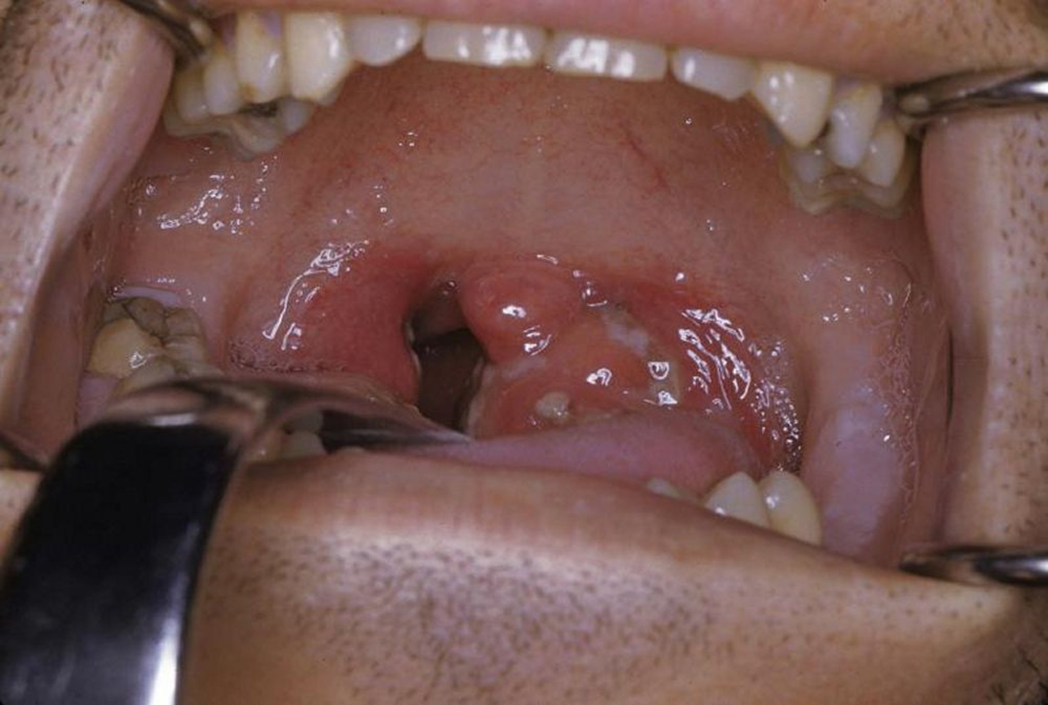
Cette photo montre une amygdalite aiguë avec exsudat et érythème.

Photo fournie par Clarence T. Sasaki, MD.

Dans ces sujets