Angiographie pulmonaire par reconstruction TDM coronale
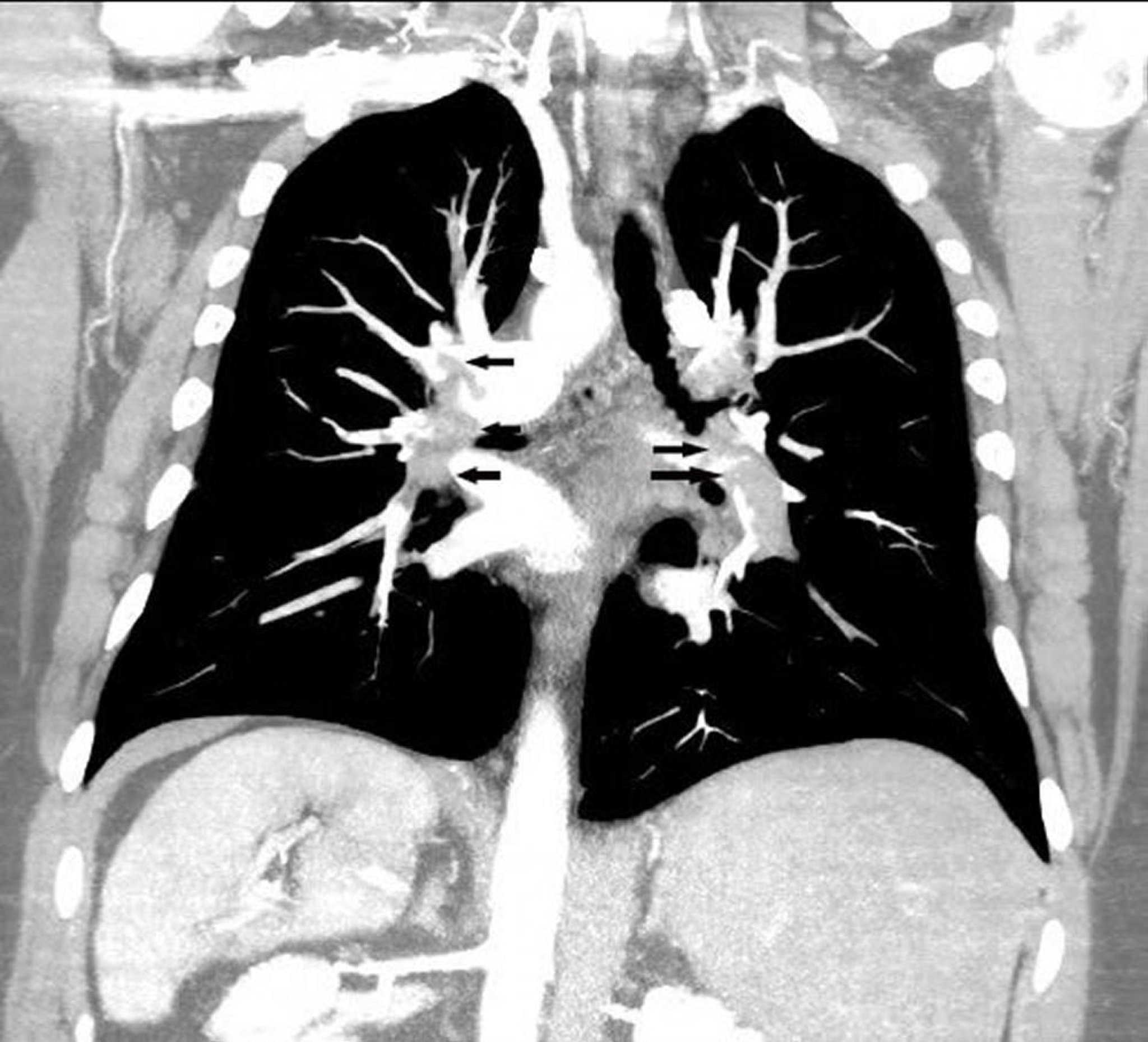
L'angio-TDM pulmonaire de reconstruction coronale montre une embolie pulmonaire étendue et des artères pulmonaires bilatérales (flèches).
Image courtoisie de Hakan Ilaslan, MD.
Dans ces sujets
L'angio-TDM pulmonaire de reconstruction coronale montre une embolie pulmonaire étendue et des artères pulmonaires bilatérales (flèches).
Image courtoisie de Hakan Ilaslan, MD.