AngioTDM cardiaque
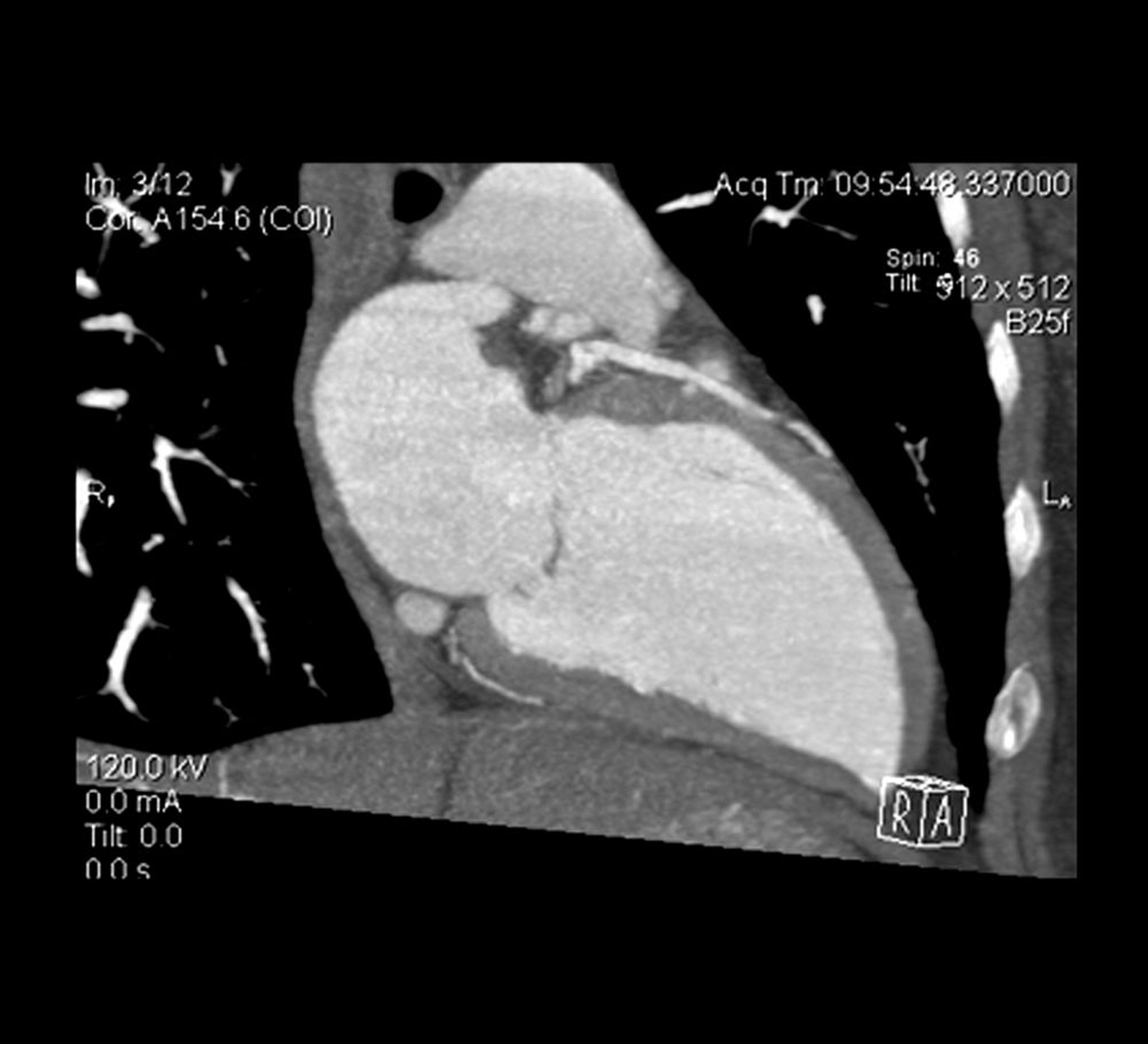
Vue en coupe transversale d'une angio-TDM cardiaque qui montre le ventricule gauche et l'artère interventriculaire antérieure gauche.
LIVING ART ENTERPRISES, LLC/SCIENCE PHOTO LIBRARY
Dans ces sujets
Vue en coupe transversale d'une angio-TDM cardiaque qui montre le ventricule gauche et l'artère interventriculaire antérieure gauche.
LIVING ART ENTERPRISES, LLC/SCIENCE PHOTO LIBRARY