Artériosclérose de Mönckeberg
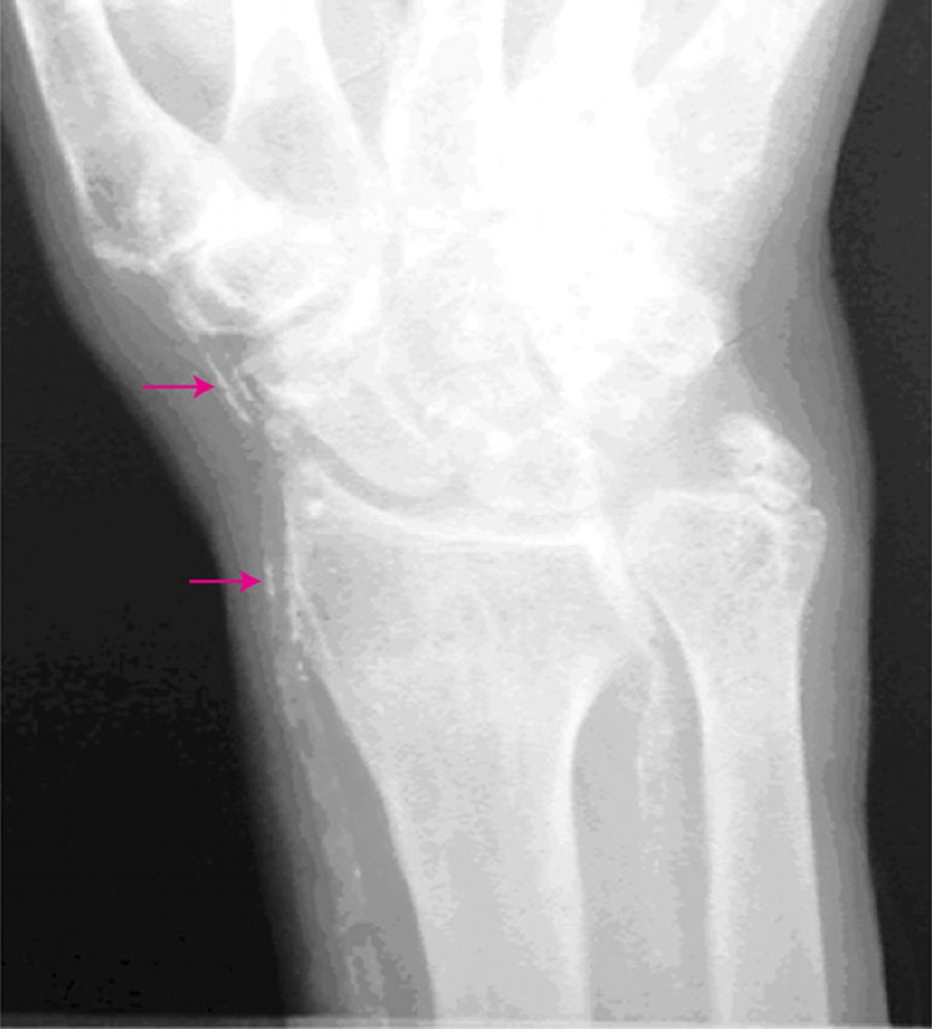
Cette radiographie de la main montre des artères calcifiées (flèches).
© Springer Science+Business Media
Dans ces sujets
Cette radiographie de la main montre des artères calcifiées (flèches).
© Springer Science+Business Media