Aspergillome récidivant
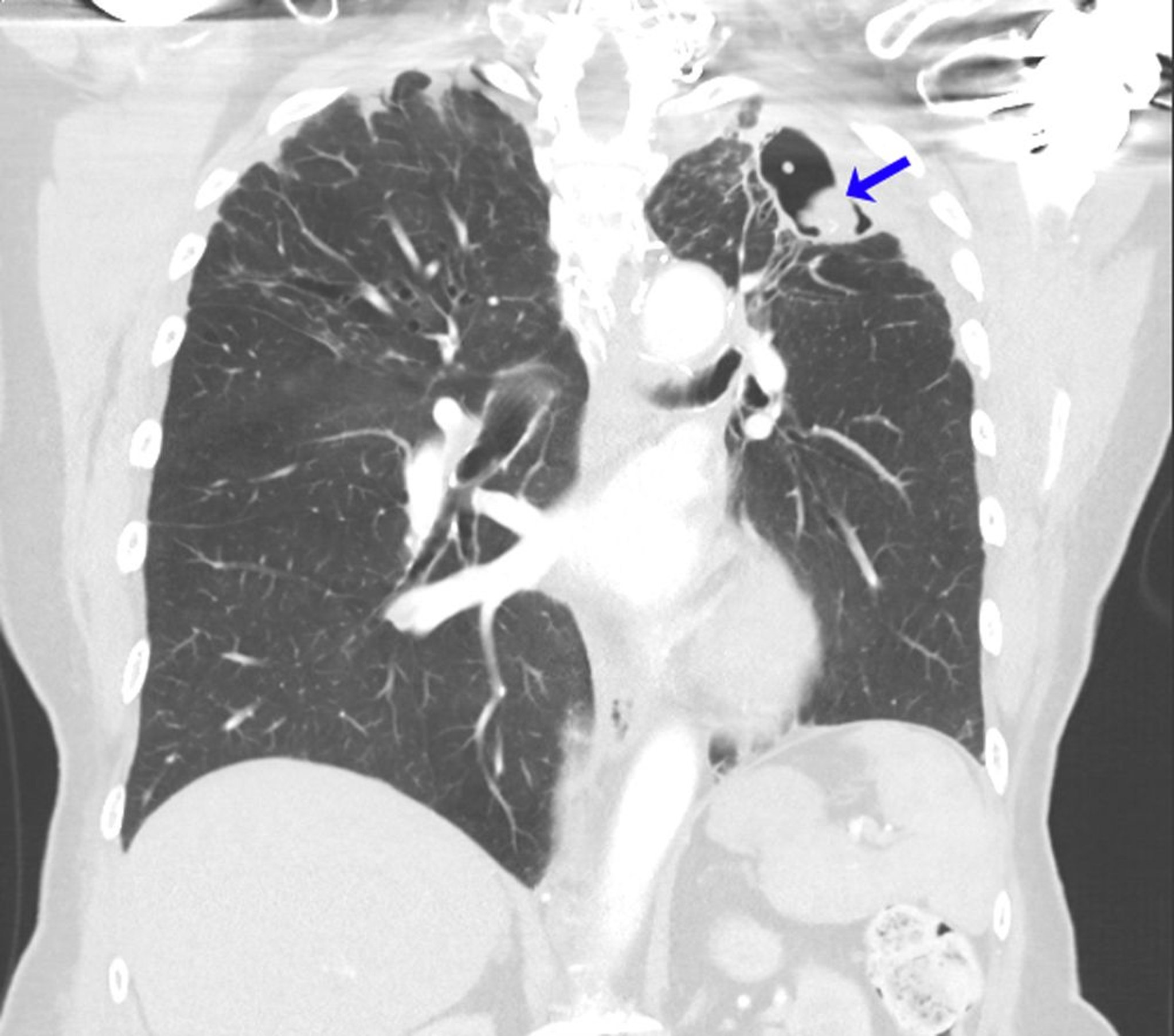
Cette TDM montre les poumons d'un sujet qui a des antécédents d'aspergillose bronchopulmonaire allergique dans un contexte d'asthme. Après une lobectomie supérieure gauche pour aspergillome, un mycétome récurrent s'est développé à l'apex du poumon gauche (flèche).
Image courtoisie de Paschalis Vergidis, MD, MSc.
Dans ces sujets
