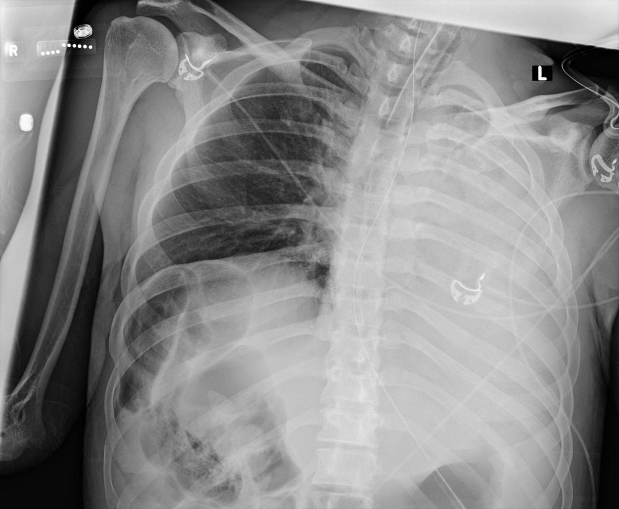
Atélectasie et collapsus du poumon gauche (radiographie)
Cette radiographie thoracique montre un collapsus de tous les lobes du poumon gauche dû à un bouchon de mucus.
Courtesy of Alexander S. Niven, MD
Dans ces sujets
Cette radiographie thoracique montre un collapsus de tous les lobes du poumon gauche dû à un bouchon de mucus.
Courtesy of Alexander S. Niven, MD