Carcinome malpighien de l'œsophage
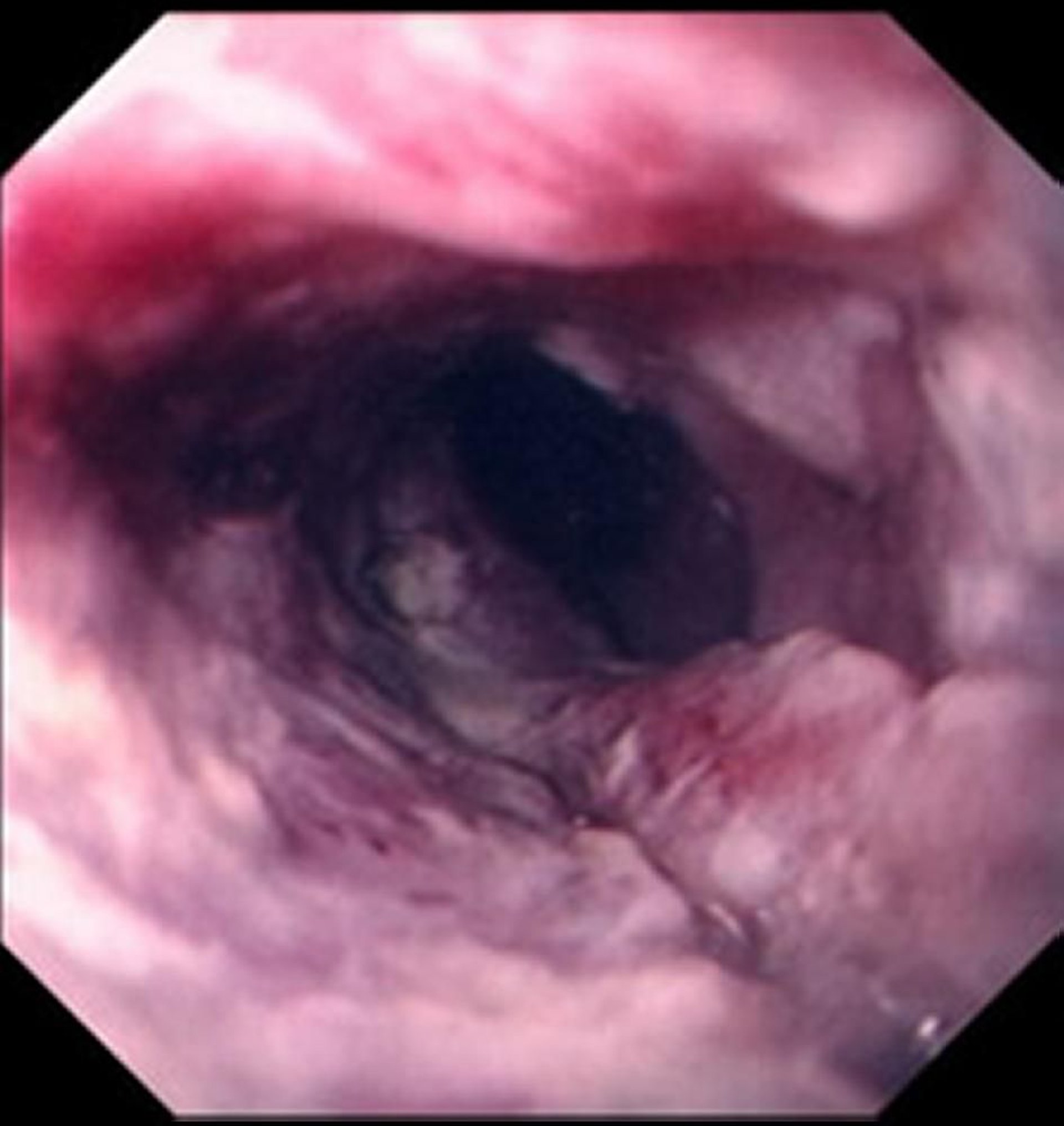
Le carcinome épidermoïde se manifeste généralement par une masse ulcérée et déchiquetée qui réduit la lumière de l'œsophage.
Images provided by David M. Martin, MD.
Dans ces sujets
Le carcinome épidermoïde se manifeste généralement par une masse ulcérée et déchiquetée qui réduit la lumière de l'œsophage.
Images provided by David M. Martin, MD.