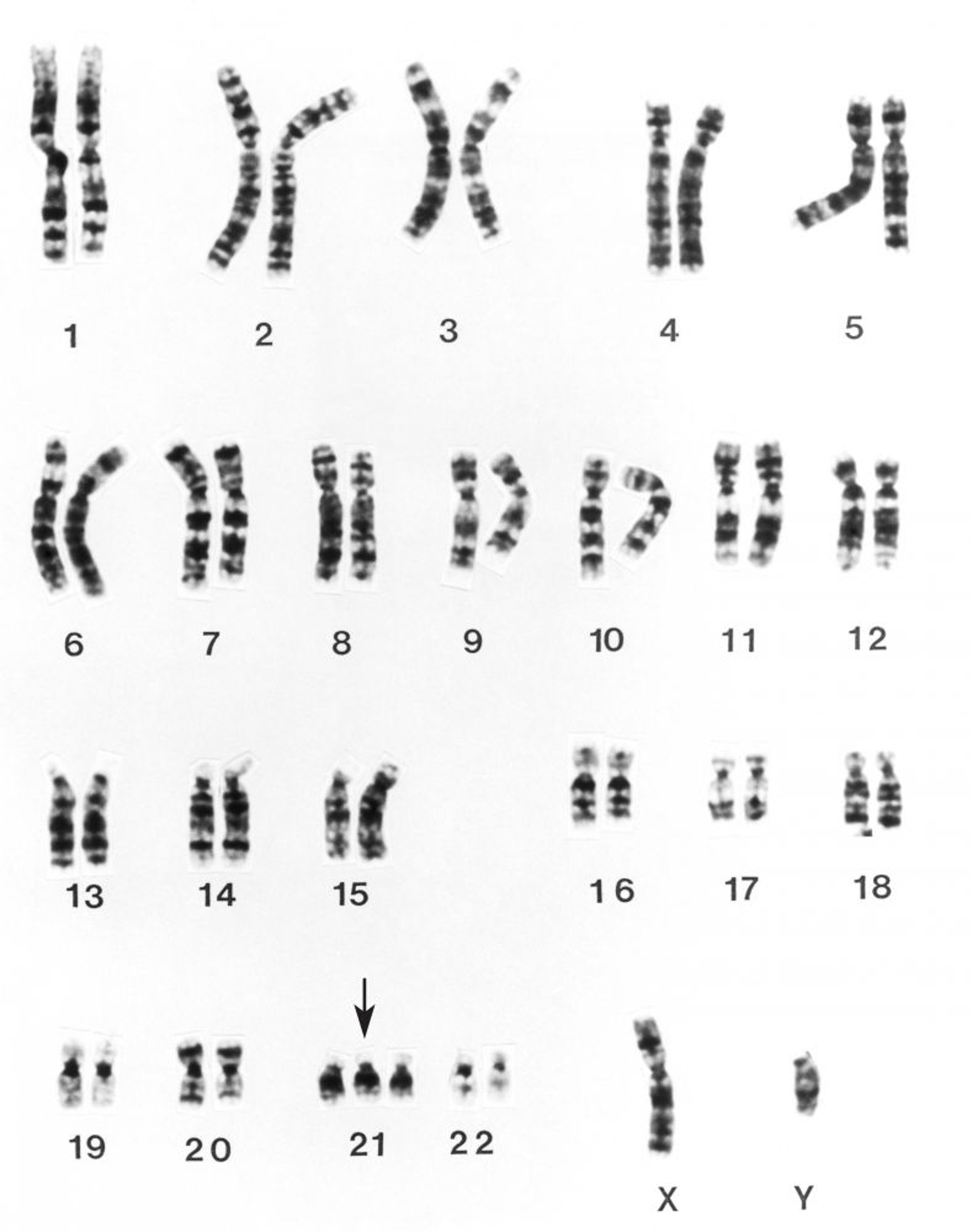
Caryotype du syndrome de Down
Le syndrome de Down est caractérisé par une trisomie 21, c'est-à-dire un chromosome 21 supplémentaire (voir flèche).
L. WILLATT, EAST ANGLIAN REGIONAL GENETICS SERVICE/SCIENCE PHOTO LIBRARY
Dans ces sujets
Le syndrome de Down est caractérisé par une trisomie 21, c'est-à-dire un chromosome 21 supplémentaire (voir flèche).
L. WILLATT, EAST ANGLIAN REGIONAL GENETICS SERVICE/SCIENCE PHOTO LIBRARY