Cryptococcose (système nerveux central)
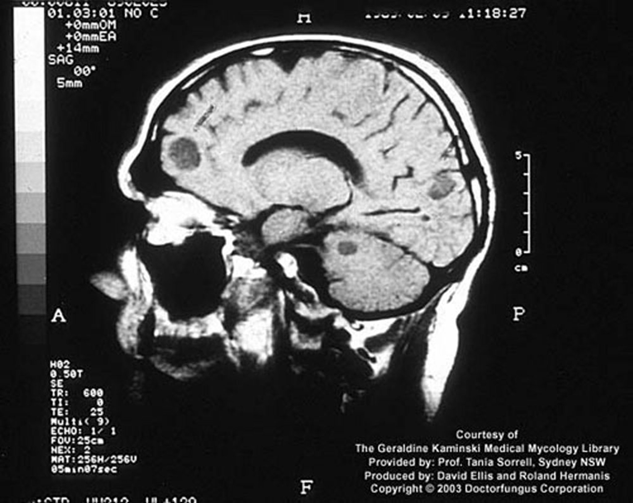
Chez un hôte immunodéprimé, l'infection cryptococcique peut se manifester par des lésions cérébrales focales appelées cryptococcomes.
Image courtoisie de www.doctorfungus.org © 2005.
Dans ces sujets
Chez un hôte immunodéprimé, l'infection cryptococcique peut se manifester par des lésions cérébrales focales appelées cryptococcomes.
Image courtoisie de www.doctorfungus.org © 2005.