Dissection de l'aorte thoracique (Stanford type B)
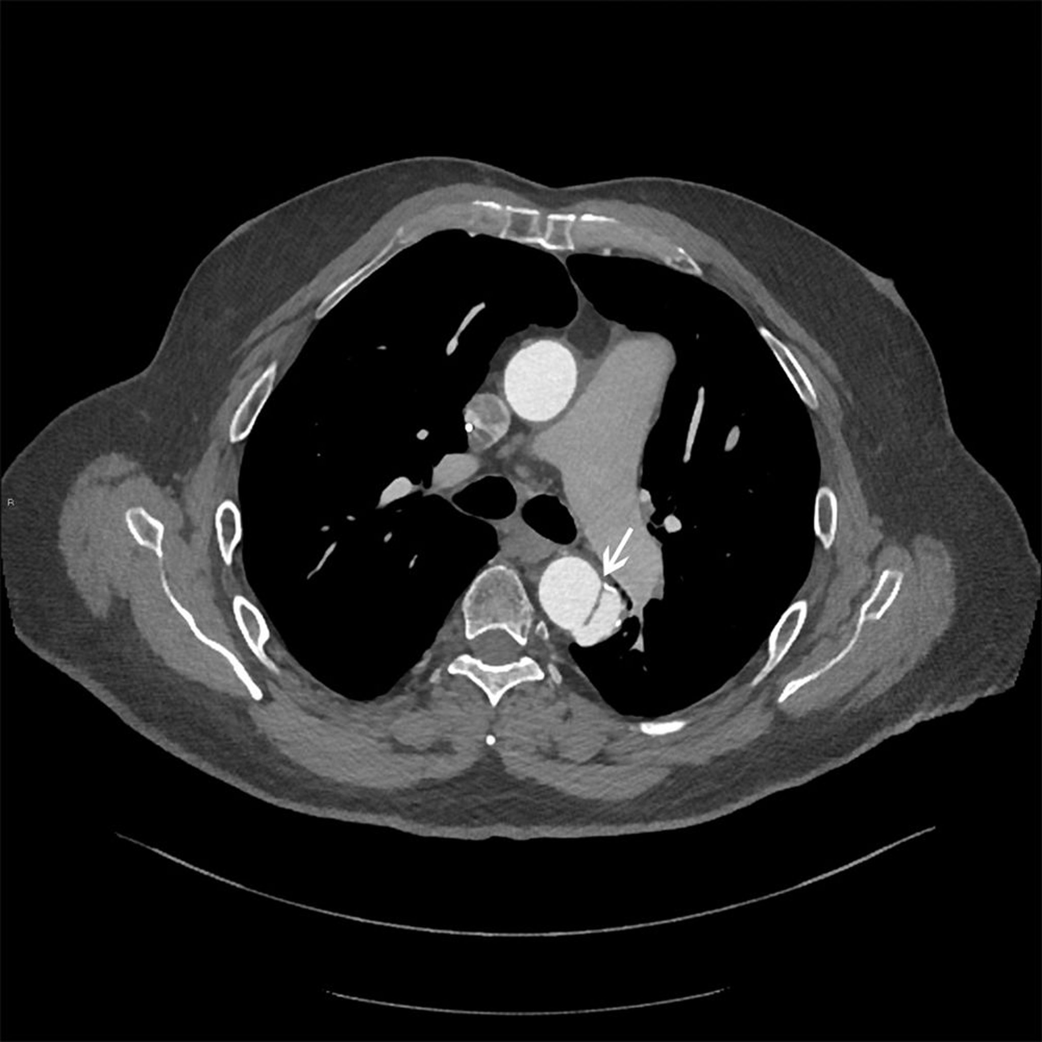
Image axiale du lambeau de dissection (flèche blanche) dans l'aorte thoracique descendante.
© 2017 Elliot K. Fishman, MD.
Dans ces sujets
Image axiale du lambeau de dissection (flèche blanche) dans l'aorte thoracique descendante.
© 2017 Elliot K. Fishman, MD.