Dysplasie fibromusculaire de l'artère rénale

Dysplasie fibromusculaire de l'artère rénale

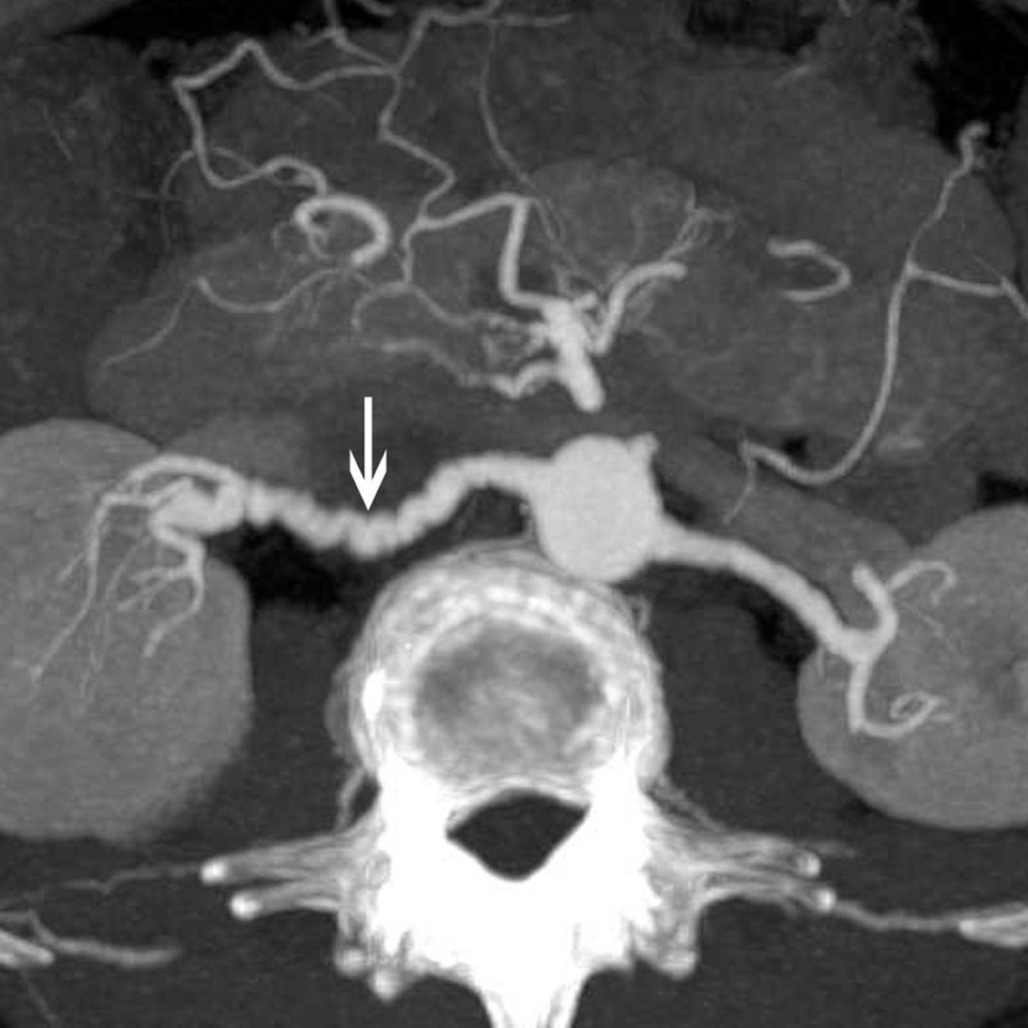
Cette image montre le classique signe du "collier de perles" (flèche) chez un patient atteint de dysplasie fibromusculaire de l'artère rénale.

© 2017 Elliot K. Fishman, MD.