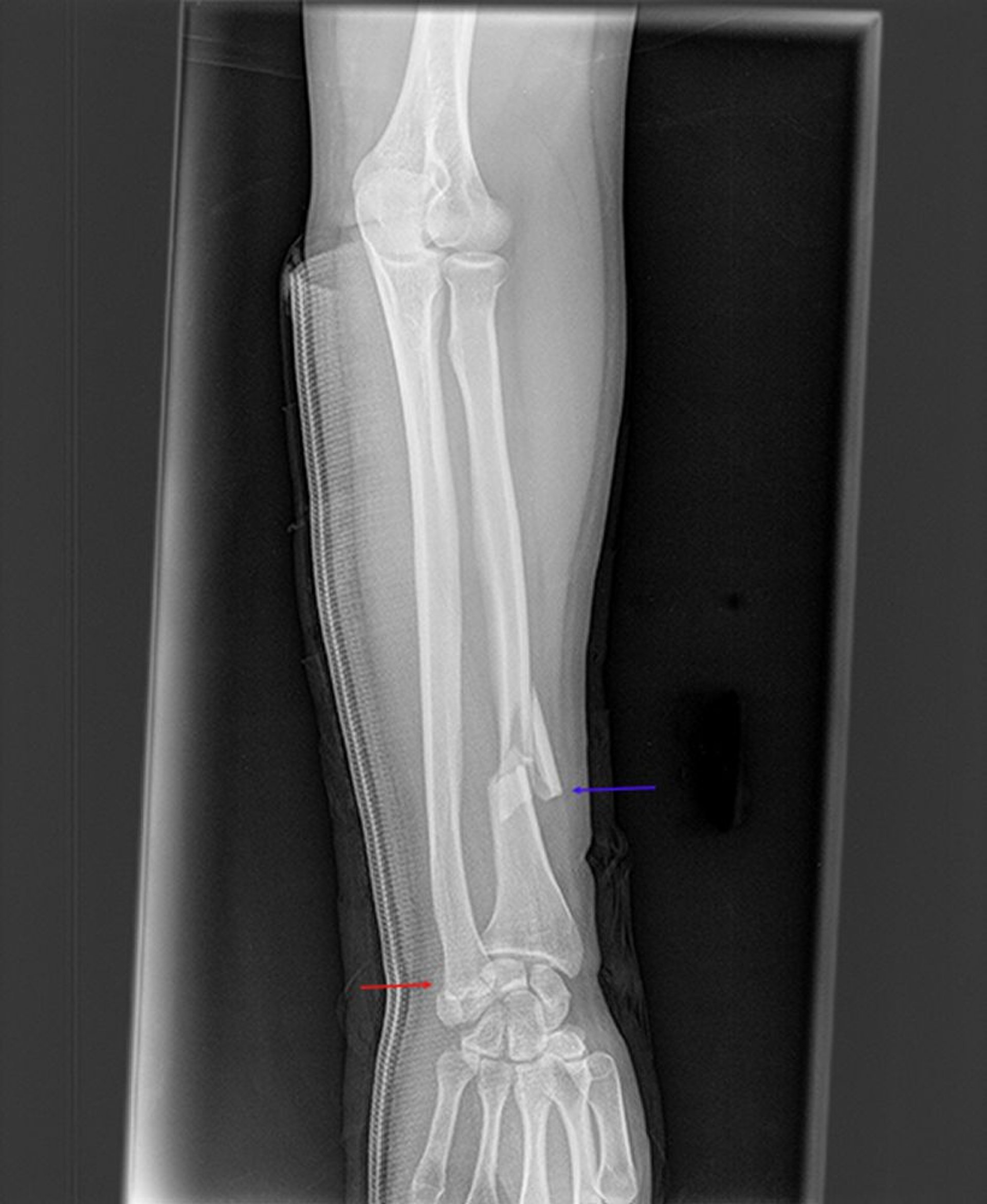
Fracture de Galeazzi
Cette radiographie montre une fracture du radius distal (flèche bleue) et une destructuration de l'articulation radioulnaire distale (flèche rouge). Les surfaces articulaires du cubitus distal et du radius distal ne sont pas alignées.
Image courtoisie de Danielle Campagne, MD.
Dans ces sujets
