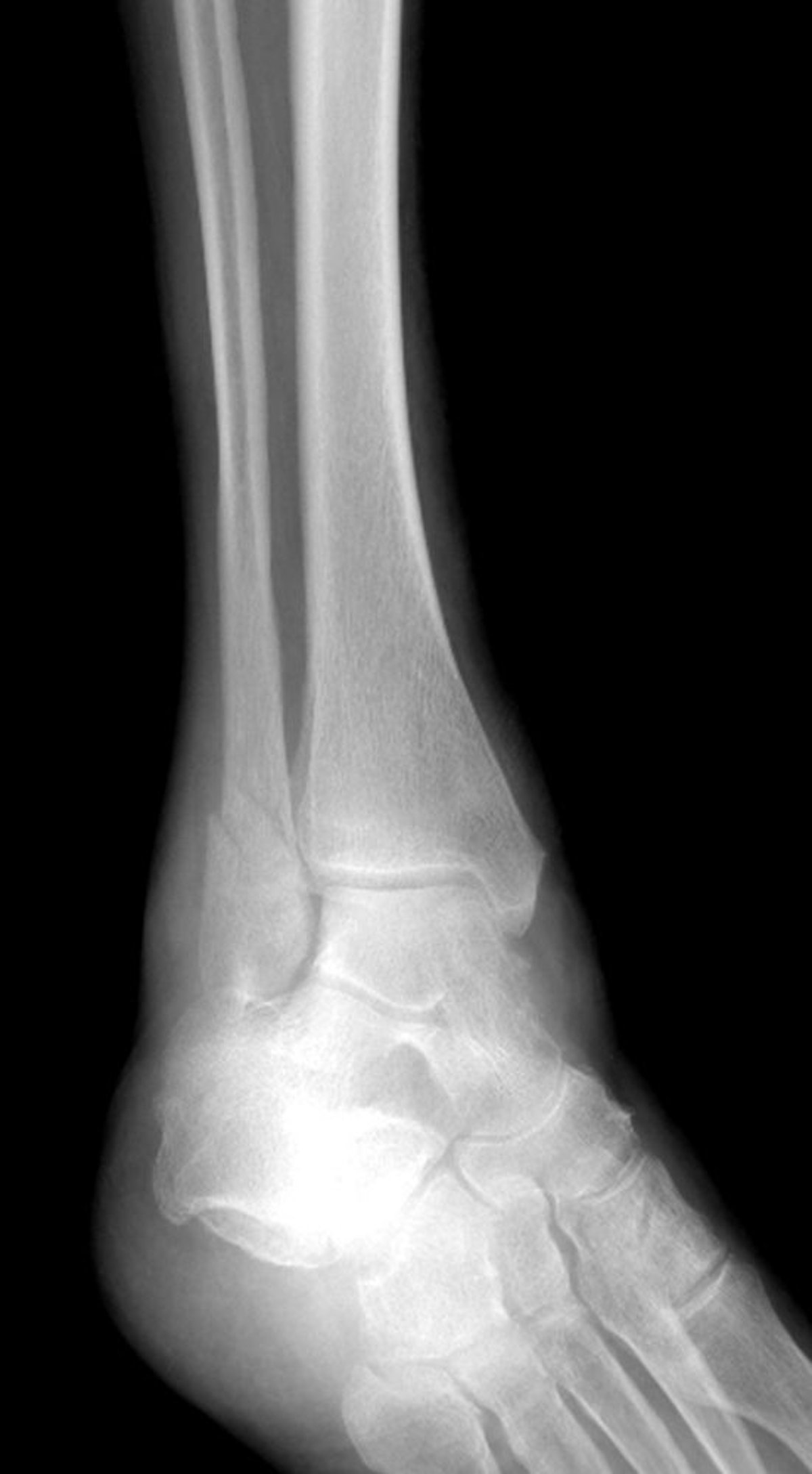
Fracture de la malléole latérale
Cette fracture de la cheville affecte la malléole latérale mais épargne la malléole interne.
LIVING ART ENTERPRISES, LLC/SCIENCE PHOTO LIBRARY
Dans ces sujets
Cette fracture de la cheville affecte la malléole latérale mais épargne la malléole interne.
LIVING ART ENTERPRISES, LLC/SCIENCE PHOTO LIBRARY