Fractures de Lisfranc
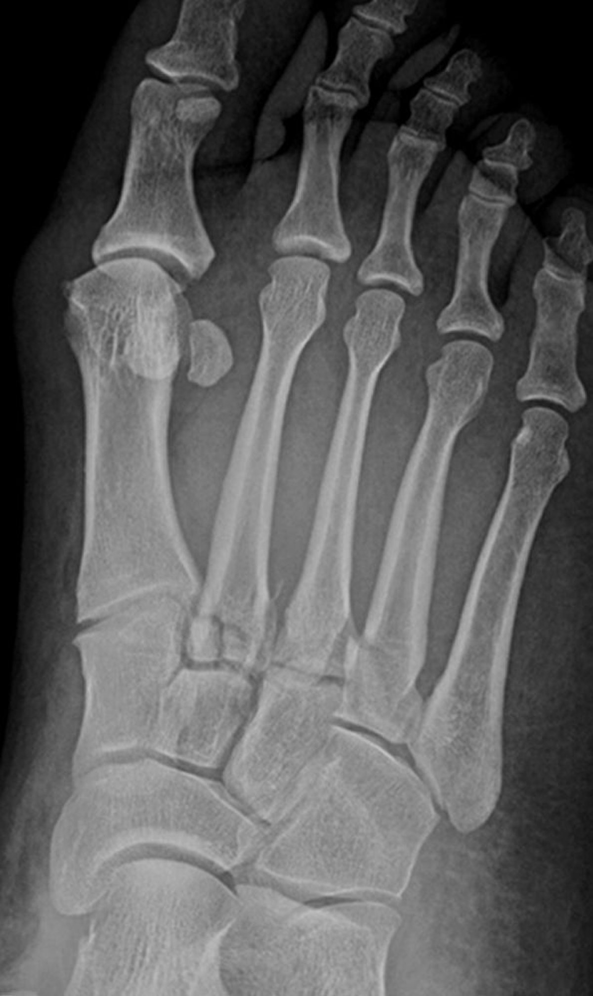
Cette radiographie montre des fractures à la base des 2e, 3e et 4e métatarsiens. Les articulations tarsométatarsiennes sont également destructurées.
Image courtoisie de Danielle Campagne, MD.
Dans ces sujets
Cette radiographie montre des fractures à la base des 2e, 3e et 4e métatarsiens. Les articulations tarsométatarsiennes sont également destructurées.
Image courtoisie de Danielle Campagne, MD.