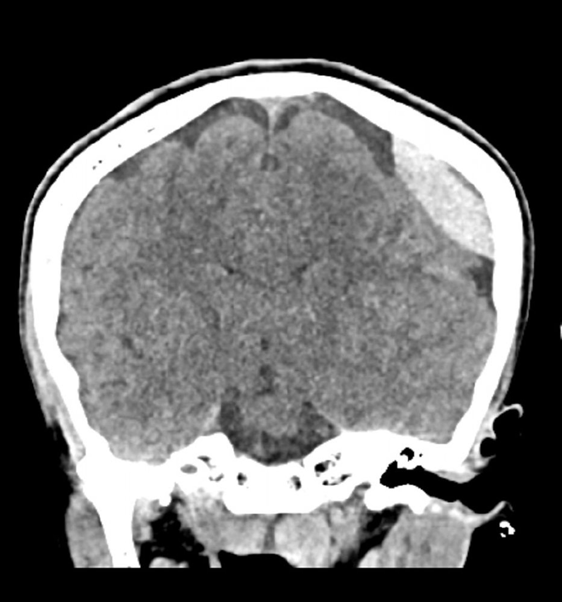
Hémorragie épidurale (TDM coronale)
Hyperdensité classique en forme de lentille qui ne s'étend pas à travers les lignes de suture.
© 2017 Elliot K. Fishman, MD.
Hyperdensité classique en forme de lentille qui ne s'étend pas à travers les lignes de suture.
© 2017 Elliot K. Fishman, MD.