Hyperoxalurie
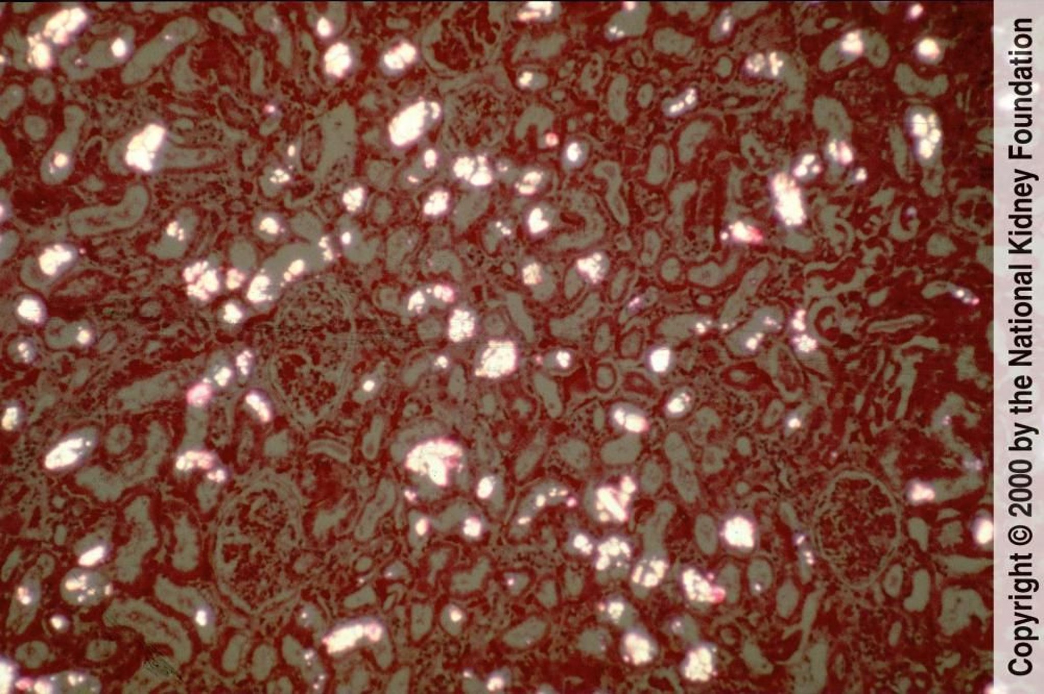
Les cristaux d'oxalate de calcium précipitent dans les tubules rénaux et sont bien visibles sous forme de cristaux biréfringents et en forme d'éventail en lumière polarisée (coloration polarisée à l'hématoxyline-éosine, ×100).
Image fournie par Agnes Fogo, MD, and the American Journal of Kidney Diseases' Atlas of Renal Pathology (voir www.ajkd.org).
Dans ces sujets
