Intestin normal et anormal (microscopie)
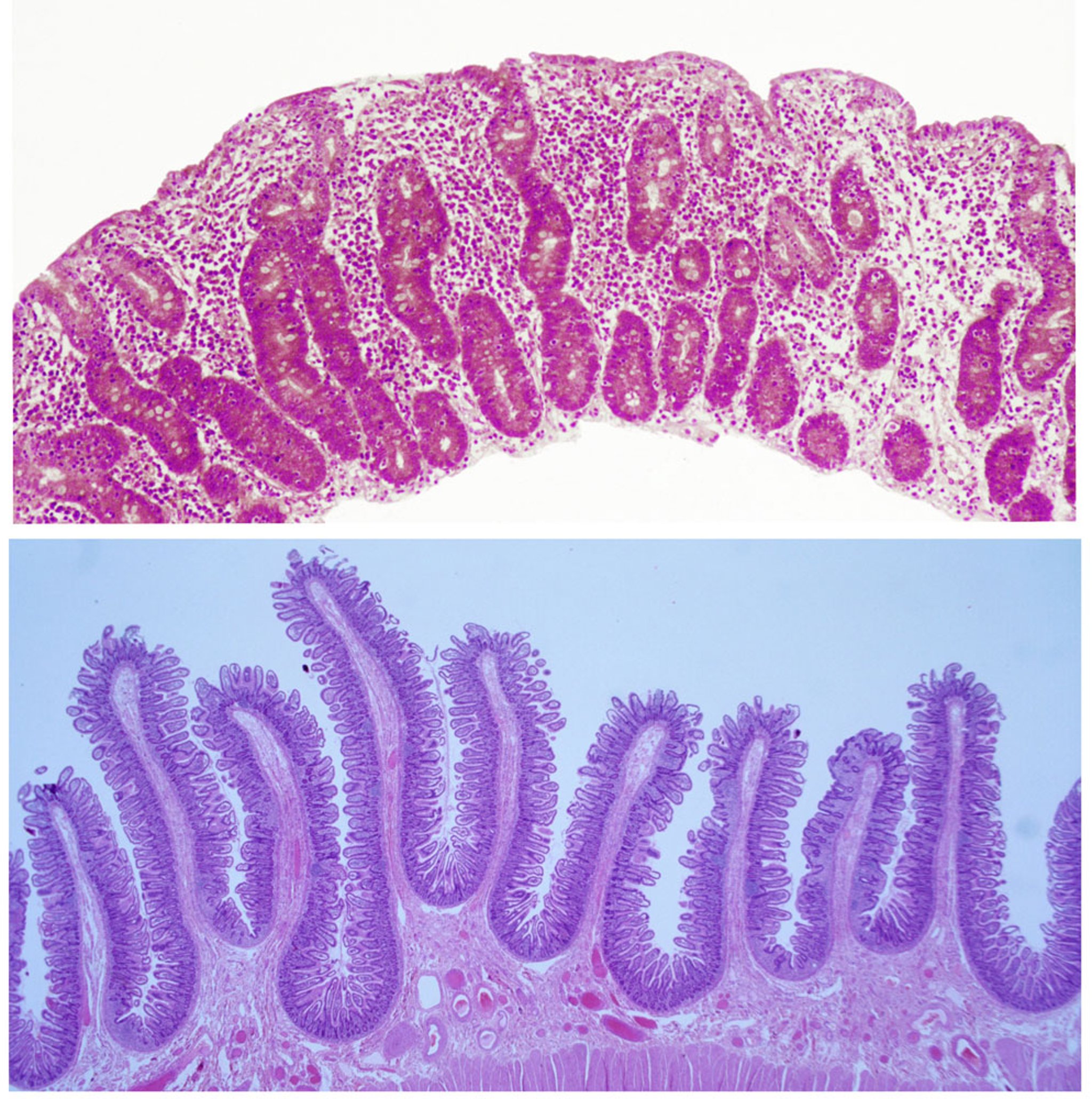
En haut: cette micrographie optique montre une section du jéjunum d'une personne atteinte de la maladie cœliaque. Les principaux résultats observés comprennent l'émoussement et l'aplatissement des villosités, la lymphocytose intraépithéliale et l'hyperplasie des cryptes. En bas: cette micrographie optique montre une section de la paroi du jéjunum chez une personne qui n'est pas atteinte de la maladie cœliaque.
Image du haut: BIOPHOTO ASSOCIATES/SCIENCE PHOTO LIBRARY
Image du bas: INNERSPACE IMAGING/SCIENCE PHOTO LIBRARY
Dans ces sujets
