Kyste osseux solitaire
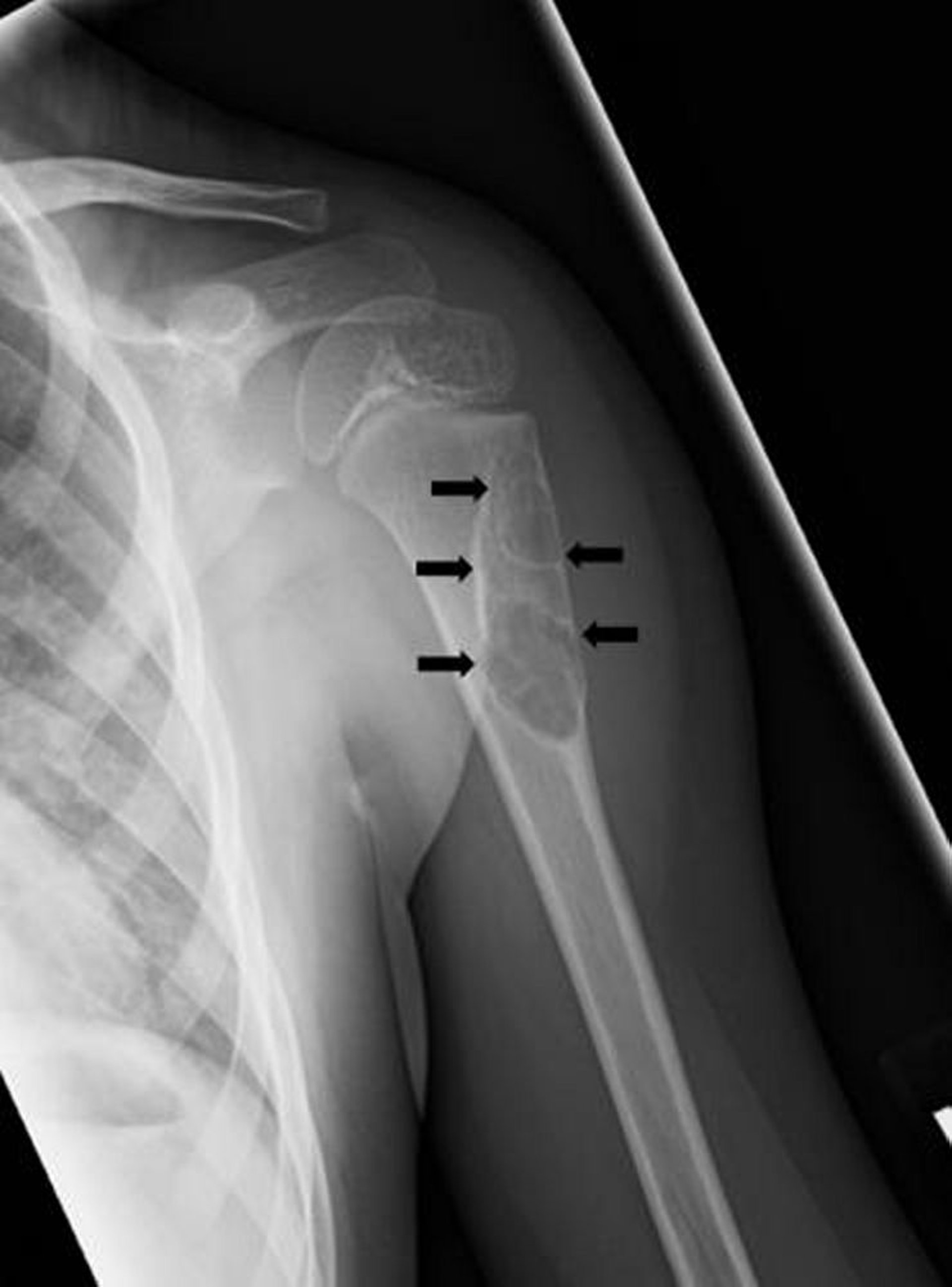
Cette radiographie montre une lésion kystique (flèches) de l'humérus chez un enfant compatible avec un kyste osseux unicaméral.
Image courtoisie de Michael J. Joyce, MD, and Hakan Ilaslan, MD.
Dans ces sujets
Cette radiographie montre une lésion kystique (flèches) de l'humérus chez un enfant compatible avec un kyste osseux unicaméral.
Image courtoisie de Michael J. Joyce, MD, and Hakan Ilaslan, MD.