Légionellose (radiographie thoracique)
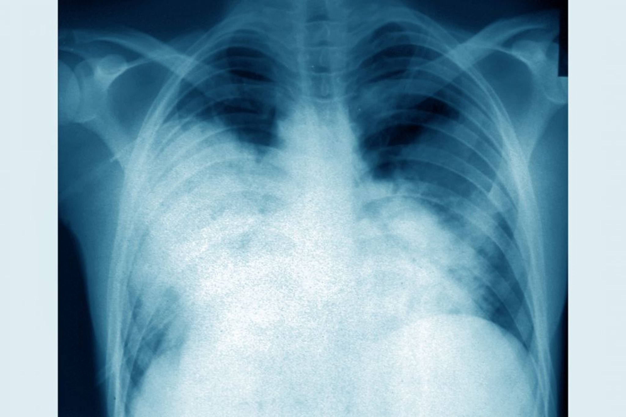
Cette radiographie thoracique frontale montre une pneumonie bilatérale aiguë (maladie du légionnaire causée par Legionella pneumophila).
CAVALLINI JAMES/BSIP/SCIENCE PHOTO LIBRARY
Dans ces sujets
Cette radiographie thoracique frontale montre une pneumonie bilatérale aiguë (maladie du légionnaire causée par Legionella pneumophila).
CAVALLINI JAMES/BSIP/SCIENCE PHOTO LIBRARY