Luxation de la rotule (radiographie)
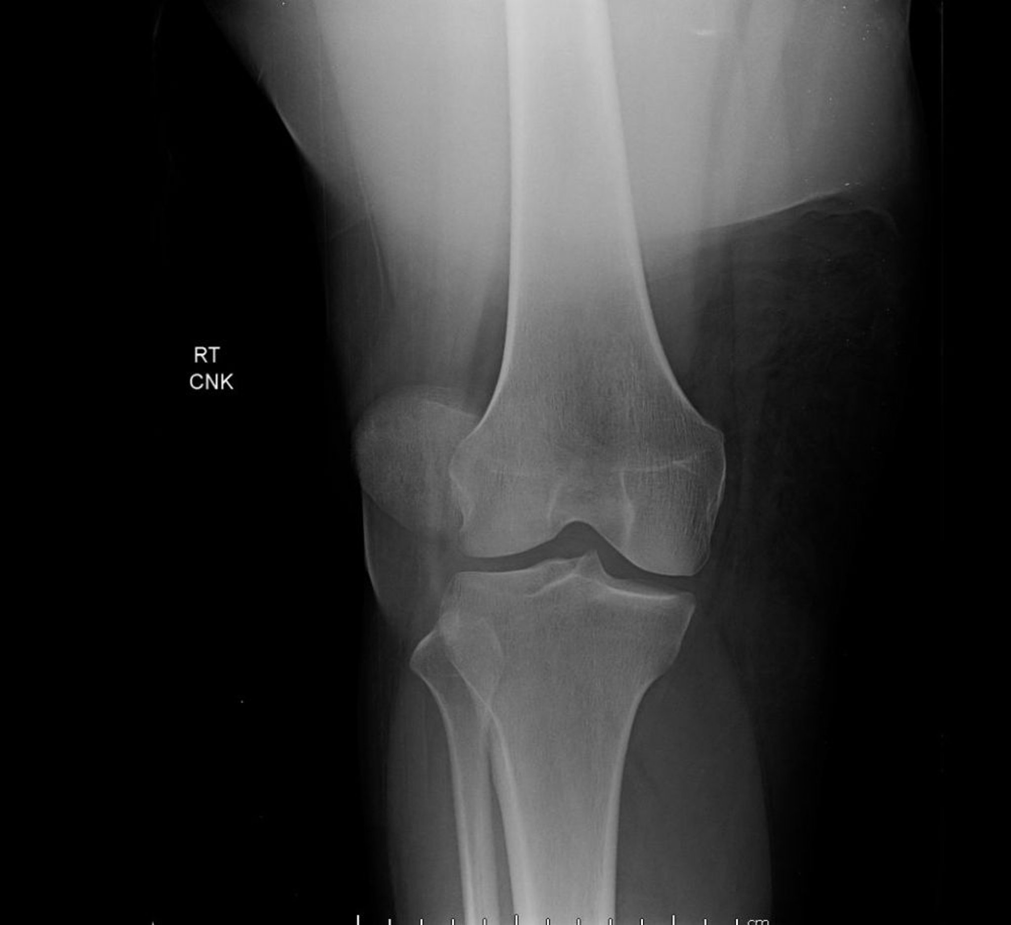
Cette vue antéropostérieure du genou montre une luxation rotulienne, caractérisée par un déplacement latéral extrême de la rotule, en dehors de son emplacement normal entre les condyles fémoraux.
Image courtoisie de Danielle Campagne, MD.
Dans ces sujets
