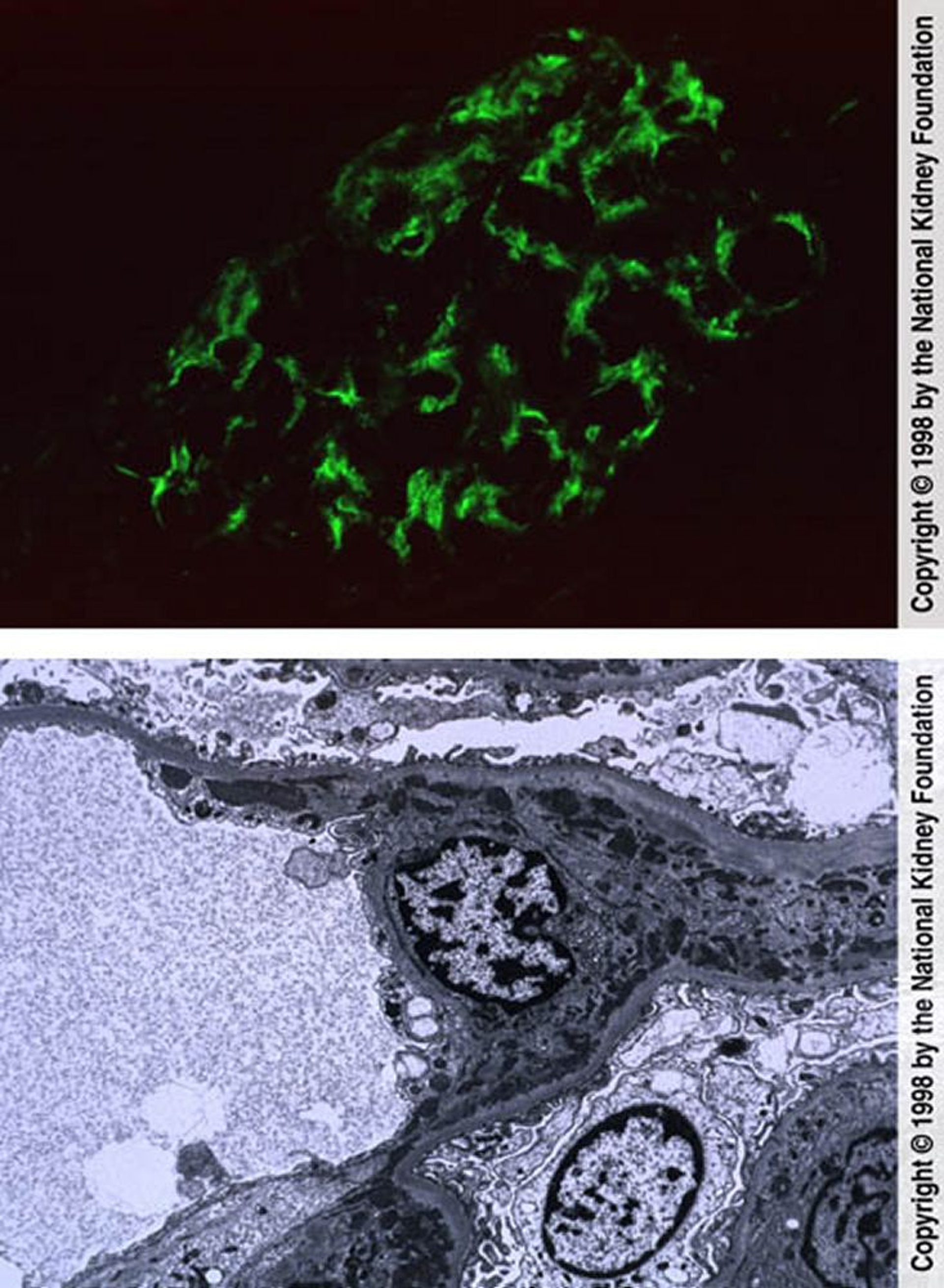
Néphrite lupique, prolifération mésangiale (classe II)
L'image du haut montre un dépôt mésangial d'IgM (immunofluorescence avec anti-IgM, grossissement d'origine ×400). Dans l'image du bas, des dépôts de complexes immuns denses mésangiaux et des agrégats réticulaires dans le cytoplasme des cellules endothéliales sont observés en microscopie électronique à transmission (×8000).
Image fournie par Agnes Fogo, MD, and the American Journal of Kidney Diseases' Atlas of Renal Pathology (voir www.ajkd.org).
Dans ces sujets
