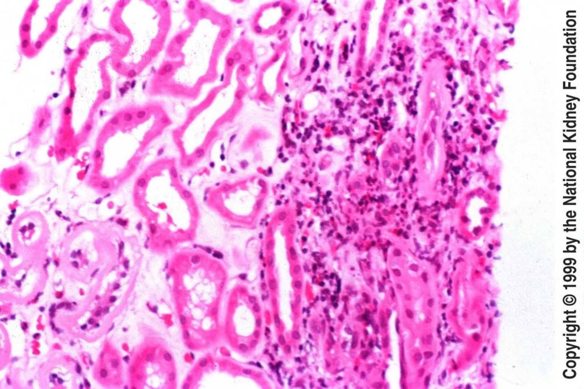
Néphrite tubulo-interstitielle aiguë
La biopsie dans la néphrite tubulo-interstitielle aiguë montre un œdème interstitiel avec infiltration par des éosinophiles, des lymphocytes et des plasmocytes (coloration à l'hématoxyline-éosine, ×200).
Image fournie par Agnes Fogo, MD, and the American Journal of Kidney Diseases' Atlas of Renal Pathology (voir www.ajkd.org).
Dans ces sujets
