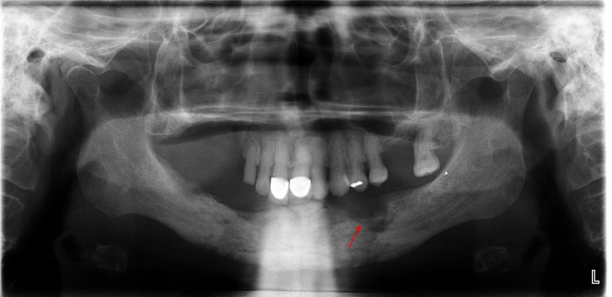
Ostéomyélite
Cette radiographie montre une ostéomyélite avec un séquestre (os non viable) évident visible dans le quadrant mandibulaire gauche (flèche).
Image courtoisie de Byron (Pete) Benson, DDS, MS, Texas A&M University Baylor College of Dentistry.
Dans ces sujets
