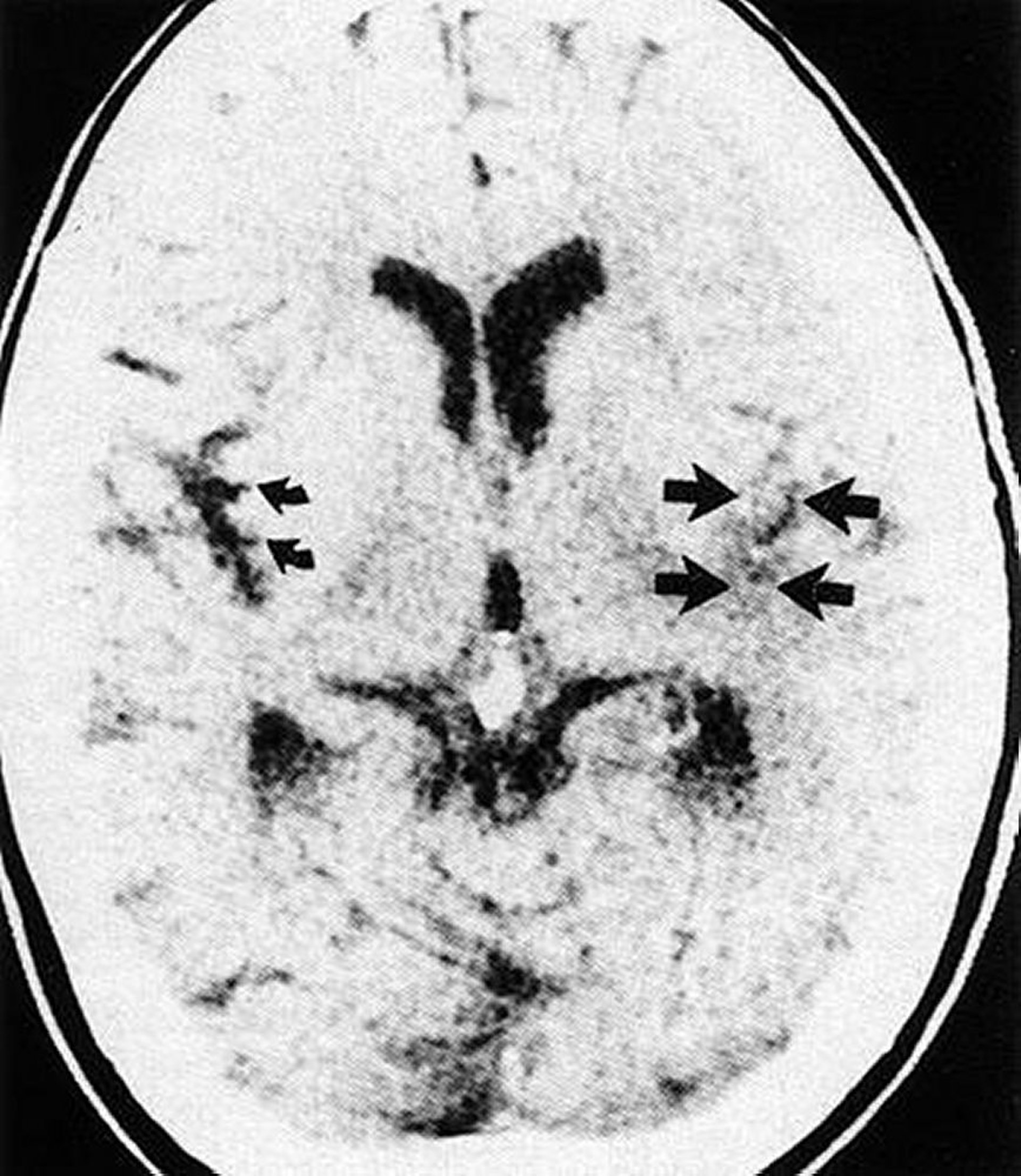
Perte de ruban insulaire
Cette TDM montre l'effacement de la scissure et du ruban insulaire sylvien (flèches droites) du côté infarci du cerveau par rapport au ruban insulaire normal (flèches courbes).
By permission of the publisher. From Geremia G, Greenlee W. In Atlas of Cerebrovascular Disease. Edited by PB Gorelick and MA Sloan. Philadelphia, Current Medicine, 1996.
Dans ces sujets
