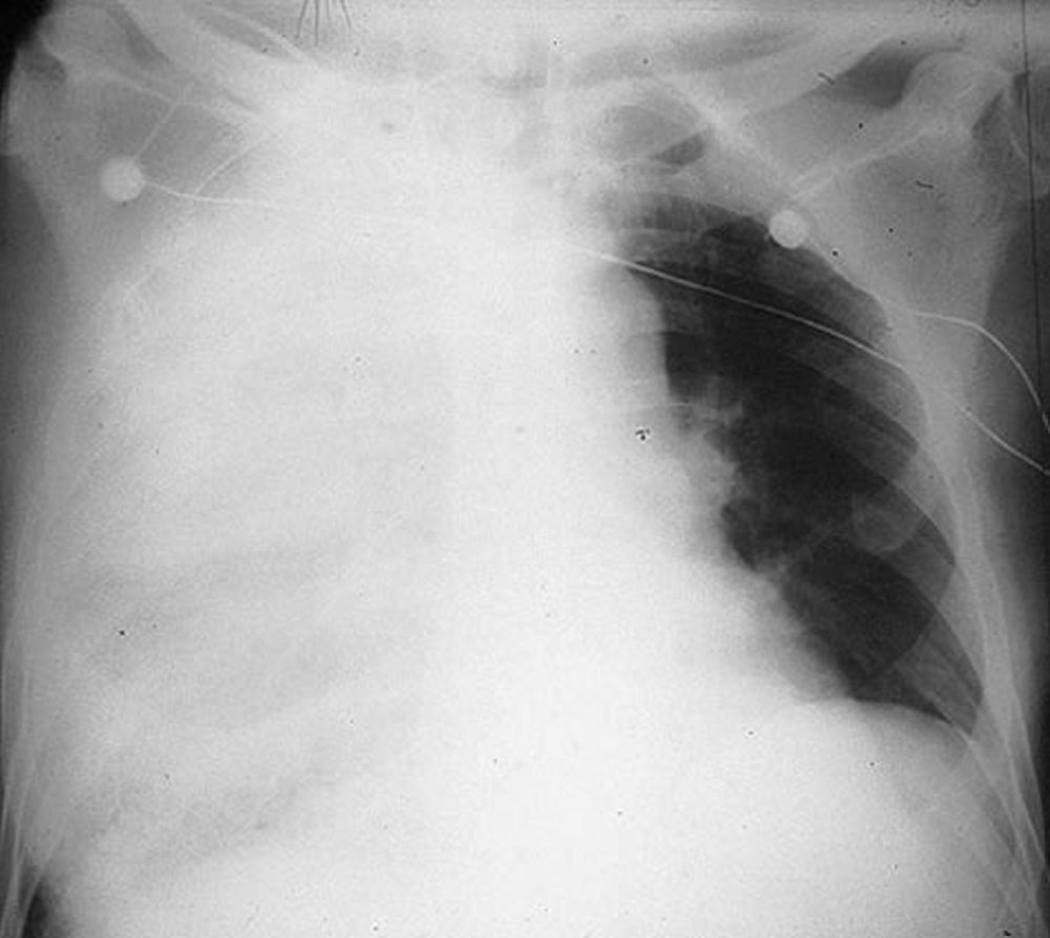
Pneumonie multilobaire
Consolidation des lobes supérieurs, moyens et inférieurs droits chez un homme de 64 ans atteint de pneumonie à pneumocoque.
By permission of the publisher. D'après Roberts R. In Atlas of Infectious Diseases: Pleuropulmonary and Bronchial Infections. Edited by GL Mandell (series editor) and MS Simberkoff. Philadelphia, Current Medicine, 1996.
Dans ces sujets
