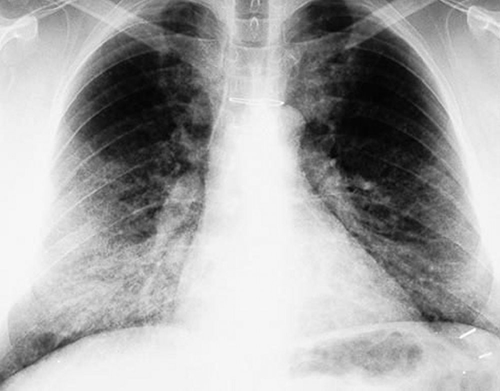
Protéinose alvéolaire pulmonaire (radiographie de thorax)
La radiographie de thorax montre des opacités bilatérales, principalement basales.
By permission of the publisher. D'après Lynch III J, Myers J. In Bone's Atlas of Pulmonary and Critical Care Medicine. Edited by J Crapo. Philadelphia, Current Medicine, 2005.
Dans ces sujets
