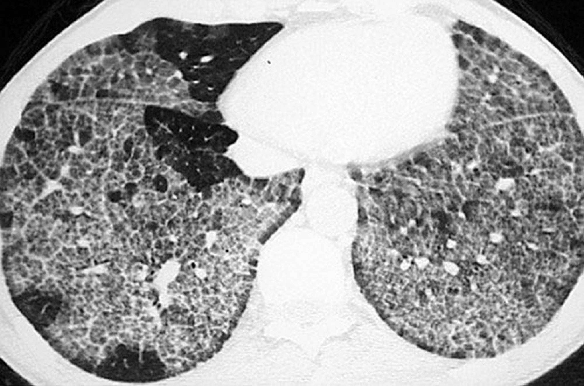
Protéinose alvéolaire pulmonaire (TDM)
La TDM à haute résolution montre une opacification en verre dépoli et des structures intralobulaires et des septa épaissies de formes polygonales ("crazy-paving").
Image courtoisie de Talmadge E. King, MD.
Dans ces sujets
