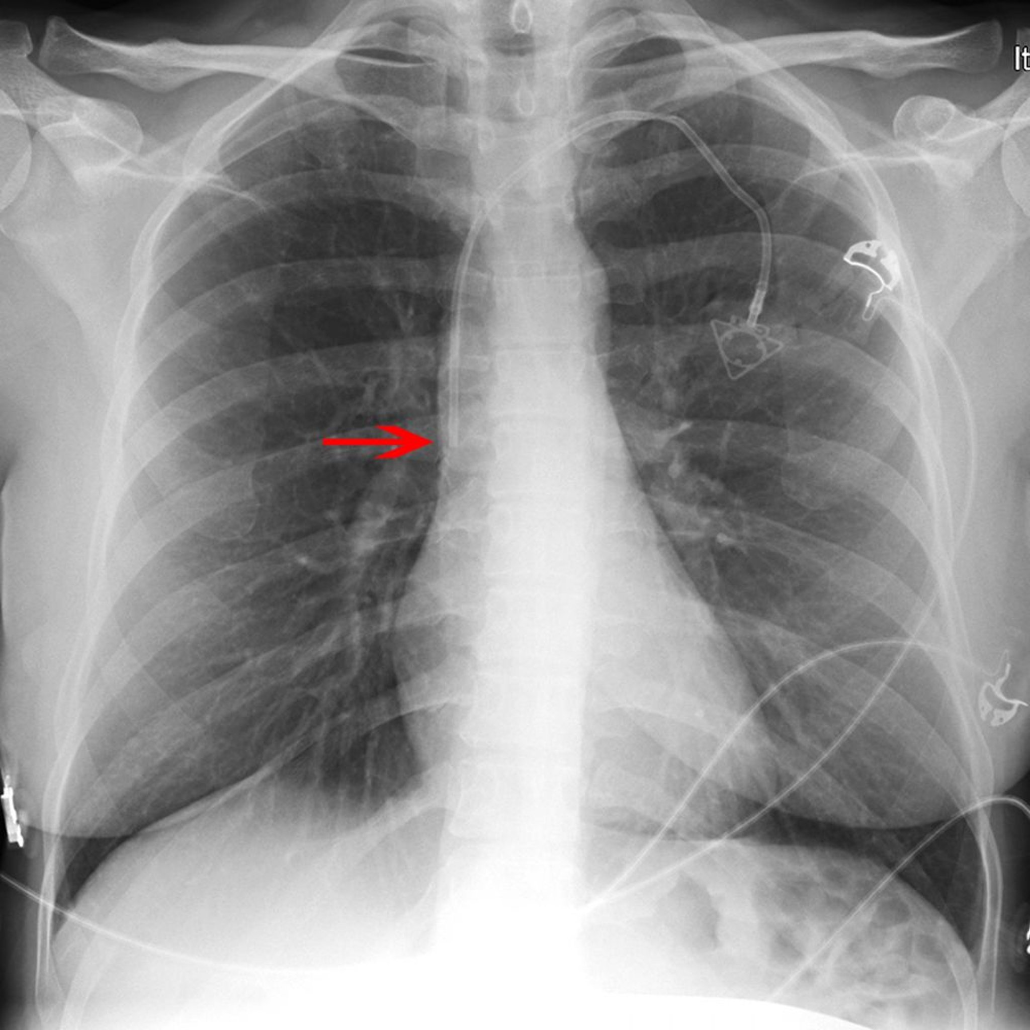
Radiographie d'un cathéter veineux central
La flèche rouge pointe vers l'extrémité d'un cathéter veineux de sous-clavière gauche (placé de manière appropriée en bas de la veine cave supérieure).
© 2017 Elliot K. Fishman, MD.
Dans ces sujets
- Accès vasculaire
- Comment effectuer une canulation de la veine sous-clavière infraclaviculaire
- Comment effectuer une canulation de la veine sous-clavière infraclaviculaire, guidée par échographie
- Comment effectuer une canulation de la veine jugulaire interne
- Comment effectuer une canulation de la veine jugulaire interne, guidée par échographie
