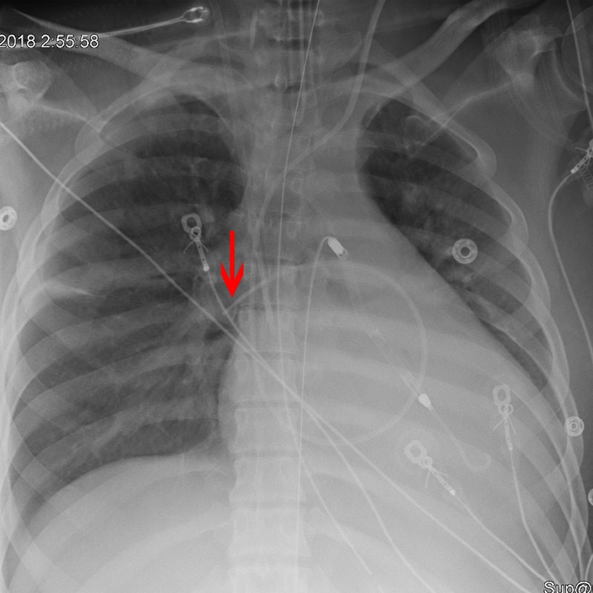
Radiographie montrant le positionnement correct d'un cathéter de Swan-Ganz
La flèche pointe vers la pointe d'un cathéter de Swan-Ganz (artère pulmonaire) placé de manière appropriée dans l'artère pulmonaire droite.
© 2017 Elliot K. Fishman, MD.
Dans ces sujets
