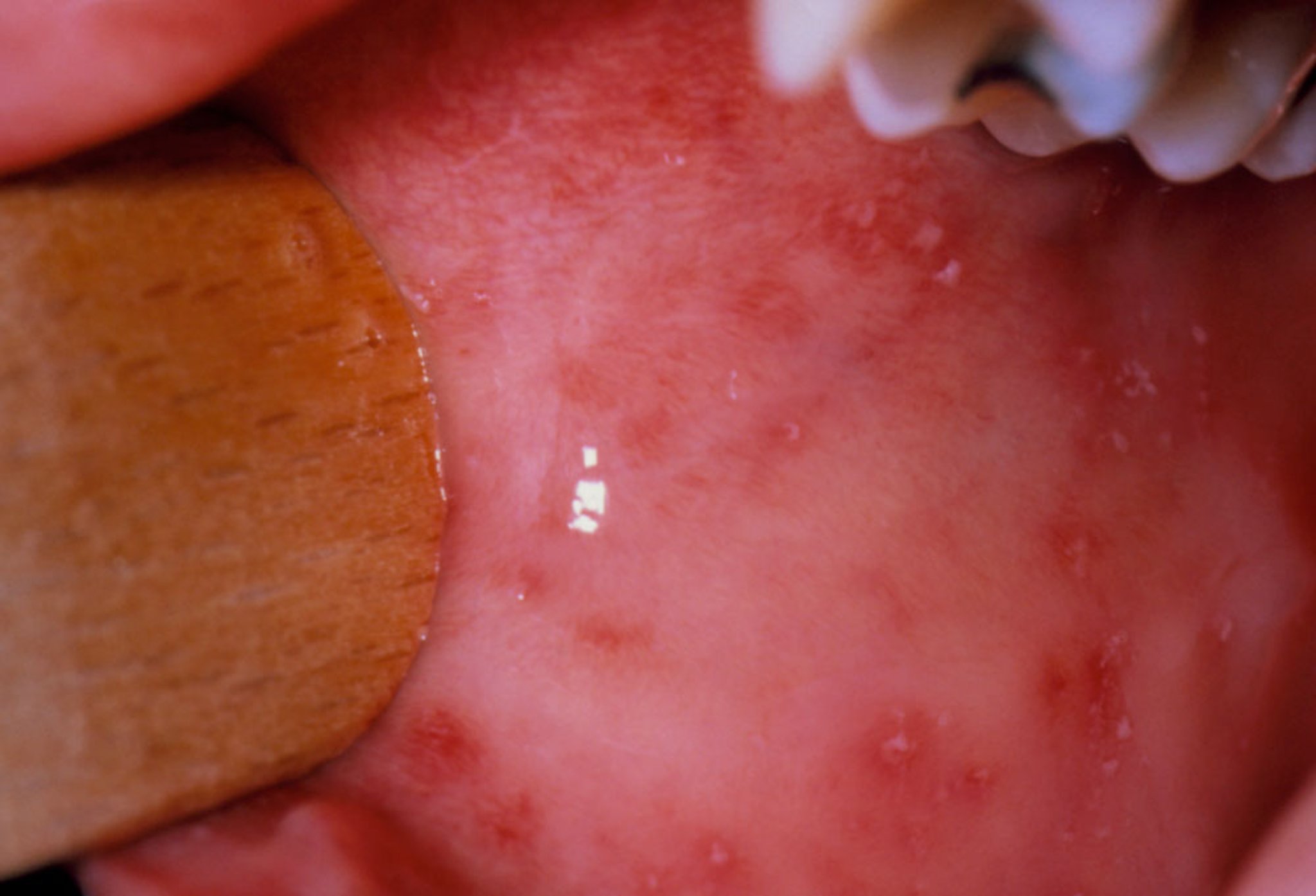
Taches de Koplik dans la rougeole (2)
Les taches de Koplik sont classiquement décrites comme des taches rouge vif avec des centres blancs ou blanc bleuâtre qui peuvent ressembler à des grains de sable. Elles peuvent se former n'importe où dans la bouche, précèdent souvent l'exanthème généralisé et sont pathognomoniques de la rougeole.
DR P. MARAZZI/SCIENCE PHOTO LIBRARY
Dans ces sujets
