TDM sans contraste de l'abdomen et du bassin montrant une anatomie normale (diapositive 10)
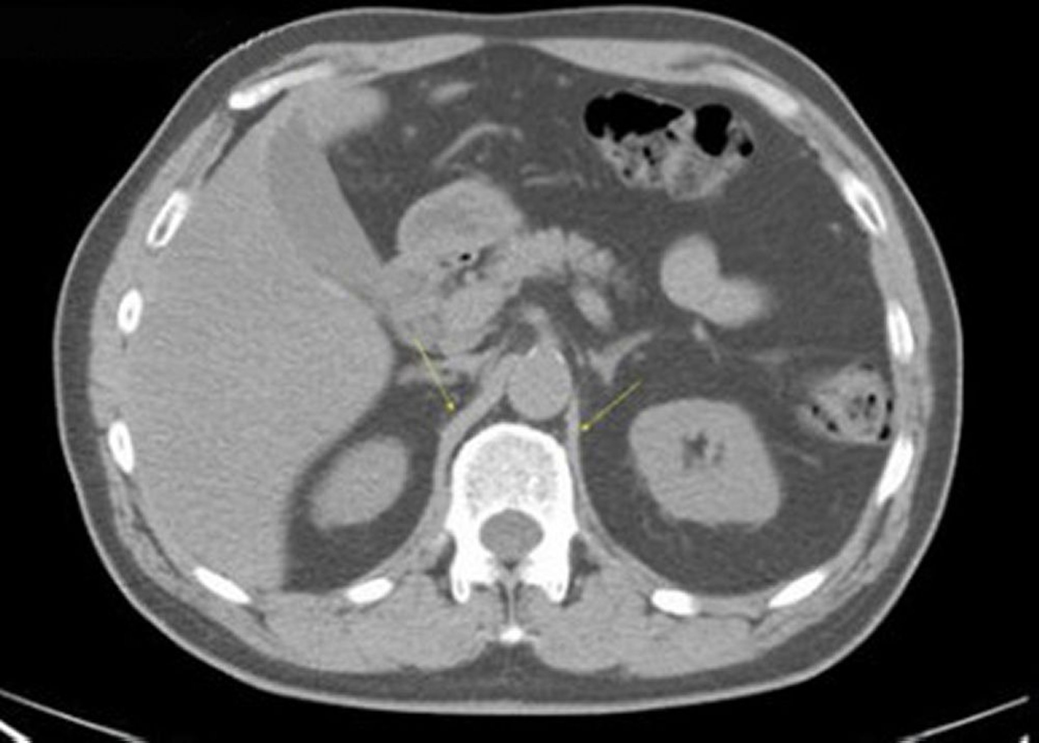
Cette image montre les piliers du diaphragme (flèches).
© Springer Science+Business Media
Dans ces sujets
Cette image montre les piliers du diaphragme (flèches).
© Springer Science+Business Media