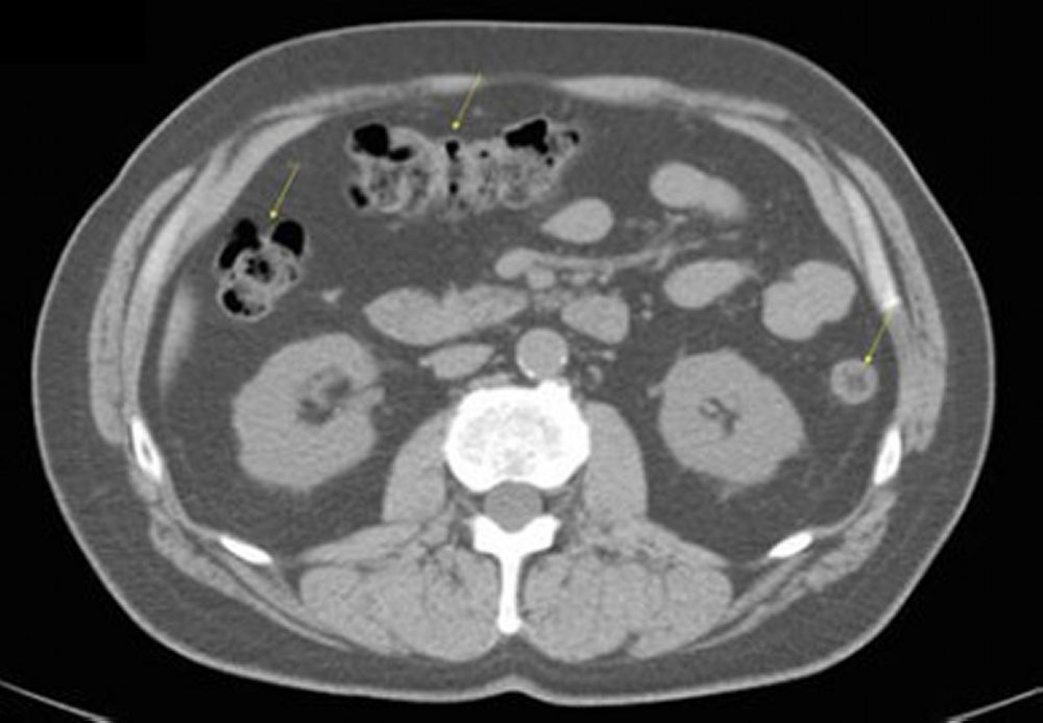
TDM sans contraste de l'abdomen et du bassin montrant une anatomie normale (diapositive 17)

TDM sans contraste de l'abdomen et du bassin montrant une anatomie normale (diapositive 17)

Cette image montre le côlon (flèches).

© Springer Science+Business Media