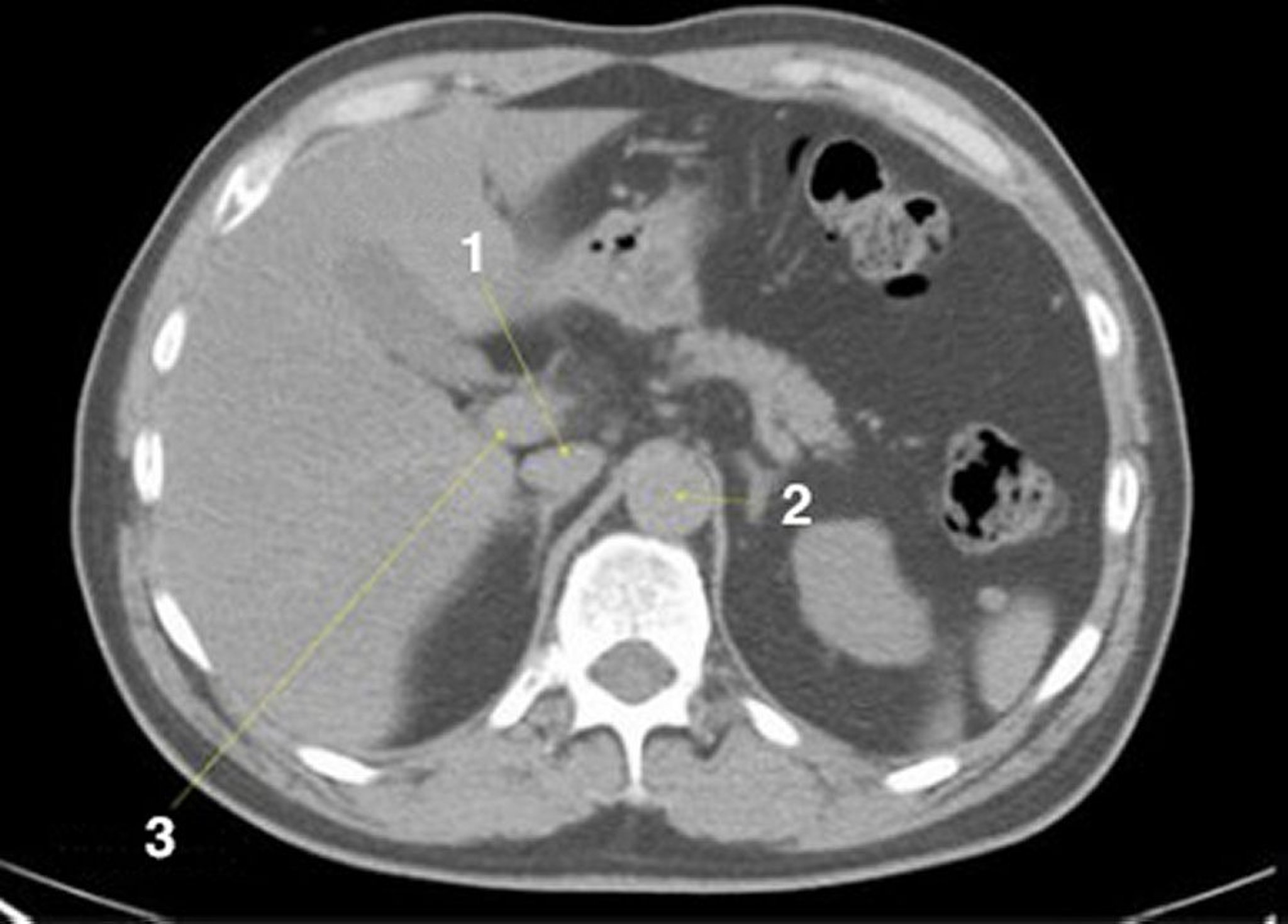
TDM sans contraste de l'abdomen et du bassin montrant une anatomie normale (diapositive 6)
1 = veine cave inférieure; 2 = aorte; 3 = veine porte.
© Springer Science+Business Media
Dans ces sujets
1 = veine cave inférieure; 2 = aorte; 3 = veine porte.
© Springer Science+Business Media