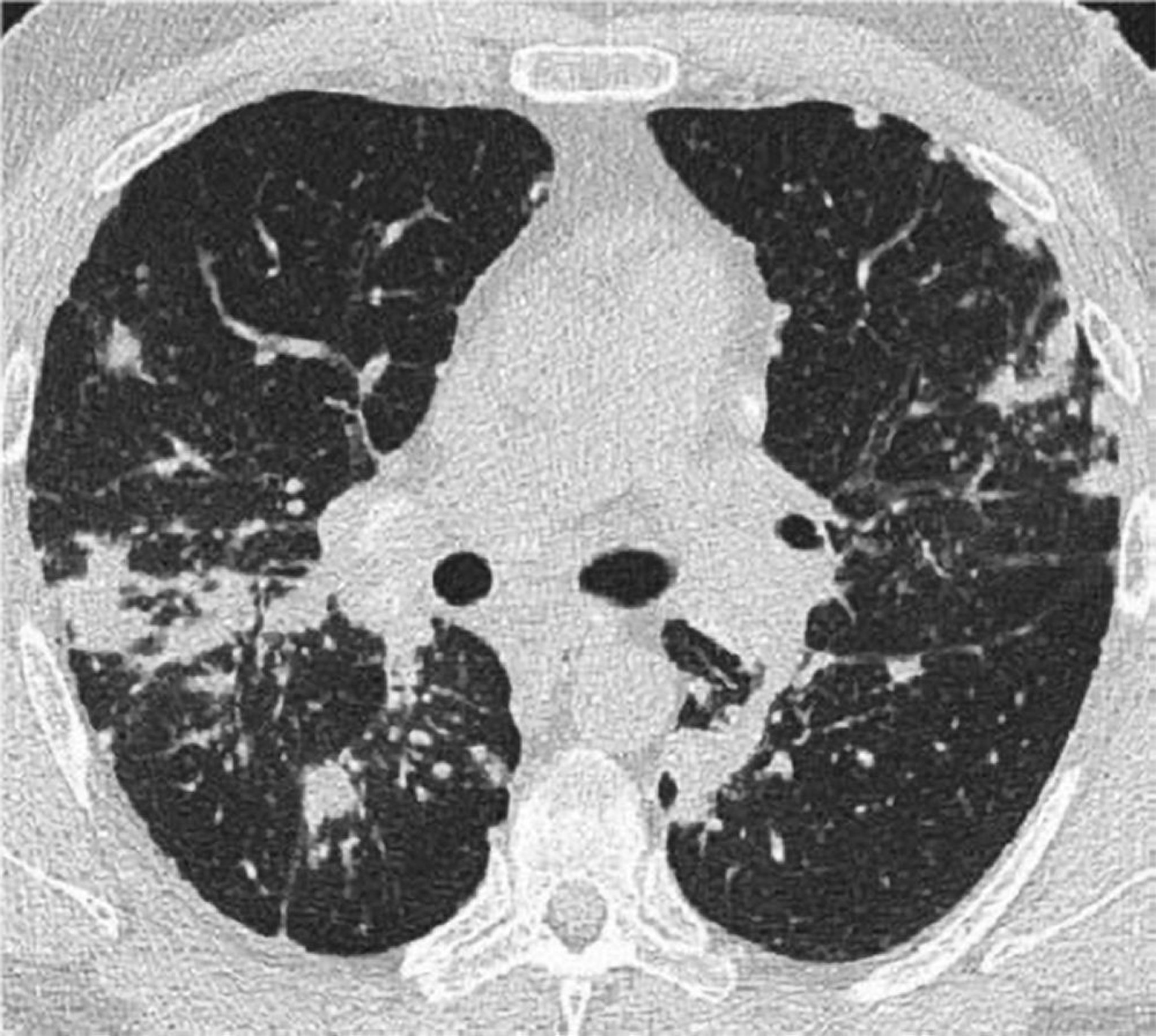
TDM thoracique d'une sarcoïdose pulmonaire
Cette TDM à haute résolution du thorax d'un patient atteint de sarcoïdose pulmonaire montre un épaississement des faisceaux bronchovasculaires et un perlage des septa interlobulaires.
Image courtesy of Birendra P. Sah, MD, FCCP.
Dans ces sujets
