Transposition des grandes artères
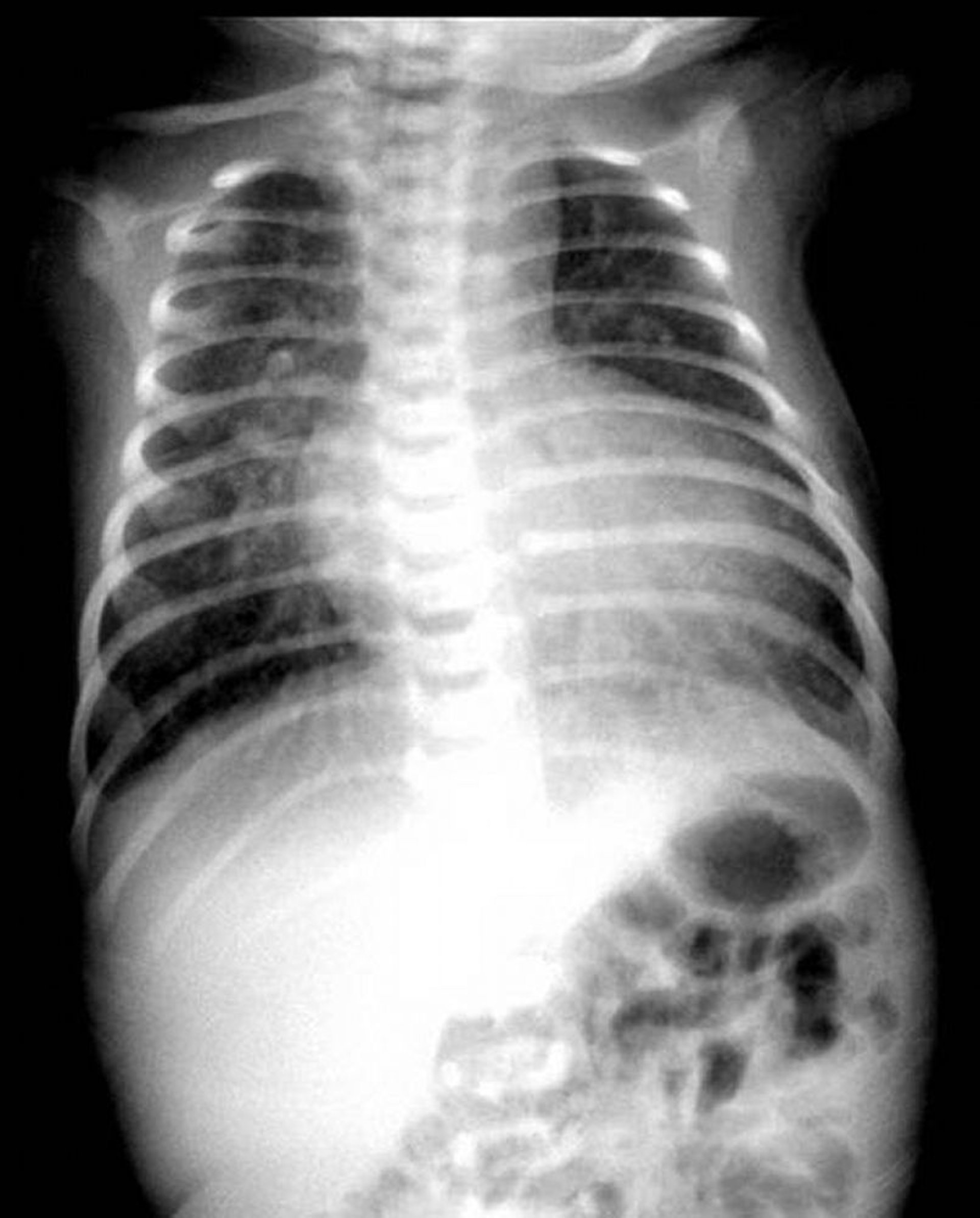
Rx thorax montrant l'aspect classique d'un œuf-sur-un-fil chez un patient présentant une transposition des grandes artères.
Image fournie par Jeanne Marie Baffa, MD.
Dans ces sujets
Rx thorax montrant l'aspect classique d'un œuf-sur-un-fil chez un patient présentant une transposition des grandes artères.
Image fournie par Jeanne Marie Baffa, MD.