Hernie diaphragmatique

ParJaime Belkind-Gerson, MD, MSc, University of Colorado
Reviewed ByAlicia R. Pekarsky, MD, State University of New York Upstate Medical University, Upstate Golisano Children's Hospital
Vérifié/Révisé Modifié août 2025
v8355609_fr
Voir l’éducation des patients

Les hernies diaphragmatiques sont des protrusions dans le thorax du contenu abdominal à travers un orifice au niveau des coupoles diaphragmatiques. L'hypoplasie pulmonaire peut causer une hypertension pulmonaire. Le diagnostic se fait par échographie fœtale, radiographie thoracique, ou autre imagerie avancée. Le traitement est la réparation chirurgicale et la prise en charge à long terme.

(Voir aussi Revue générale des anomalies gastro-intestinales congénitales.)

La hernie diaphragmatique, également appelée hernie diaphragmatique congénitale, se produit au niveau de la région postérolatérale du diaphragme (hernie de Bochdalek) dans 95% des cas et se trouve du côté gauche dans 85% des cas; dans 2% des cas, elle est bilatérale (1). La prévalence estimée à la naissance est d'environ 1 sur 4000 naissances vivantes (2). Les hernies antérieures (hernies de Morgagni) sont beaucoup moins fréquentes (5% des cas). D'autres anomalies congénitales, particulièrement les cardiopathies congénitales, sont présentes dans environ 50% des cas (3).

Le côlon, le grêle, l'estomac, le foie et la rate peuvent être herniés dans l'hémithorax du côté atteint. En cas de hernie volumineuse et si le contenu de la hernie abdominale est important, le poumon du côté atteint est hypoplasique; cependant, le poumon du côté opposé peut également être affecté. Les autres conséquences au niveau des poumons comprennent le mauvais développement des vaisseaux pulmonaires, entraînant une augmentation des résistances vasculaires pulmonaires et par conséquent une hypertension artérielle pulmonaire. L'hypertension artérielle pulmonaire peut entraîner un shunt droit-gauche au niveau du foramen ovale ou par un canal artériel persistant; l'hypoplasie pulmonaire et l'hypertension pulmonaire empêchent toutes deux une oxygénation adéquate, même avec une supplémentation en oxygène ou une ventilation mécanique. De plus, les altérations de la contractilité myocardique ajoutent à la complexité de la prise en charge et contribuent à la mortalité et à la morbidité (4).

Références générales

  1. 1. Deprest JA, Nicolaides KH, Benachi A, et al. Randomized Trial of Fetal Surgery for Severe Left Diaphragmatic Hernia. N Engl J Med. 2021;385(2):107-118. doi:10.1056/NEJMoa2027030

  2. 2. Paoletti M, Raffler G, Gaffi MS, Antounians L, Lauriti G, Zani A. Prevalence and risk factors for congenital diaphragmatic hernia: A global view. J Pediatr Surg. 2020;55(11):2297-2307. doi:10.1016/j.jpedsurg.2020.06.022

  3. 3. Longoni M, Pober BR, High FA. Congenital Diaphragmatic Hernia Overview. 2006 Feb 1 [Updated 2020 Nov 5]. In: Adam MP, Feldman J, Mirzaa GM, et al., editors. GeneReviews® [Internet]. Seattle (WA): University of Washington, Seattle; 1993-2025.

  4. 4. Zani A, Chung WK, Deprest J, et al. Congenital diaphragmatic hernia. Nat Rev Dis Primers. 2022;8(1):37. Published 2022 Jun 1. doi:10.1038/s41572-022-00362-w

Symptomatologie de la hernie diaphragmatique

La détresse respiratoire se produit généralement dans les premières heures après la naissance et survient immédiatement après l'accouchement dans les cas graves. Après l'accouchement, lorsque le nouveau-né crie ou déglutit, l'estomac et les anses intestinales se remplissent vite d'air et provoquent une atteinte respiratoire aiguë en repoussant le cœur et les structures médiastinales vers la droite (avec la hernie la plus fréquente sur le côté gauche) et en comprimant ainsi le poumon controlatéral. Un abdomen scaphoïde (dû au déplacement des viscères abdominaux dans le thorax) est probable. Des bruits abdominaux (et l'absence de murmure vésiculaire) peuvent être perçus dans l'hémithorax atteint.

Dans les cas moins graves, une gêne respiratoire modérée apparaît quelques heures ou quelques jours plus tard lorsque le contenu abdominal fait progressivement hernie à travers un hiatus diaphragmatique plus petit.

Rarement, la présentation est retardée jusqu'à tard dans l'enfance, parfois après un épisode d'entérite infectieuse, qui provoque une hernie soudaine de l'intestin dans le thorax.

Diagnostic de la hernie diaphragmatique

  • Parfois, par échographie prénatale ou IRM fœtale.

  • Radiographie thoracique, TDM thoracique et parfois IRM

  • Échocardiogramme

Dans certains cas, la hernie diaphragmatique peut être diagnostiquée par échographie prénatale (1), avec une stratification du risque supplémentaire disponible basée sur l'IRM fœtale (2).

En salle d'accouchement, une hernie diaphragmatique peut être suspectée lorsque les nouveau-nés souffrant de détresse respiratoire ont un abdomen scaphoïde.

Après la naissance, le diagnostic repose sur la radiographie de thorax qui montre l'estomac et l'intestin herniés dans le thorax. En cas d'orifice large, on observe des anses intestinales remplies d'air dans l'hémithorax atteint et un déplacement controlatéral du cœur et des structures médiastinales. Si la radiographie est faite immédiatement après l'accouchement, avant que le nouveau-né n'ait avalé de l'air, le contenu abdominal peut n'apparaître que sous l'aspect d'une opacité sans air dans l'hémithorax.

L'imagerie en coupe comprenant la TDM et l'IRM est utilisée pour évaluer la localisation du défaut, identifier le contenu abdominal spécifique dans le thorax, approximer les volumes pulmonaires, planifier la chirurgie, et chez certains nouveau-nés évaluer d'autres défauts congénitaux (3). Un échocardiogramme est réalisé pour dépister une cardiopathie congénitale associée, en particulier si l'oxygénation extracorporelle par membrane est envisagée.

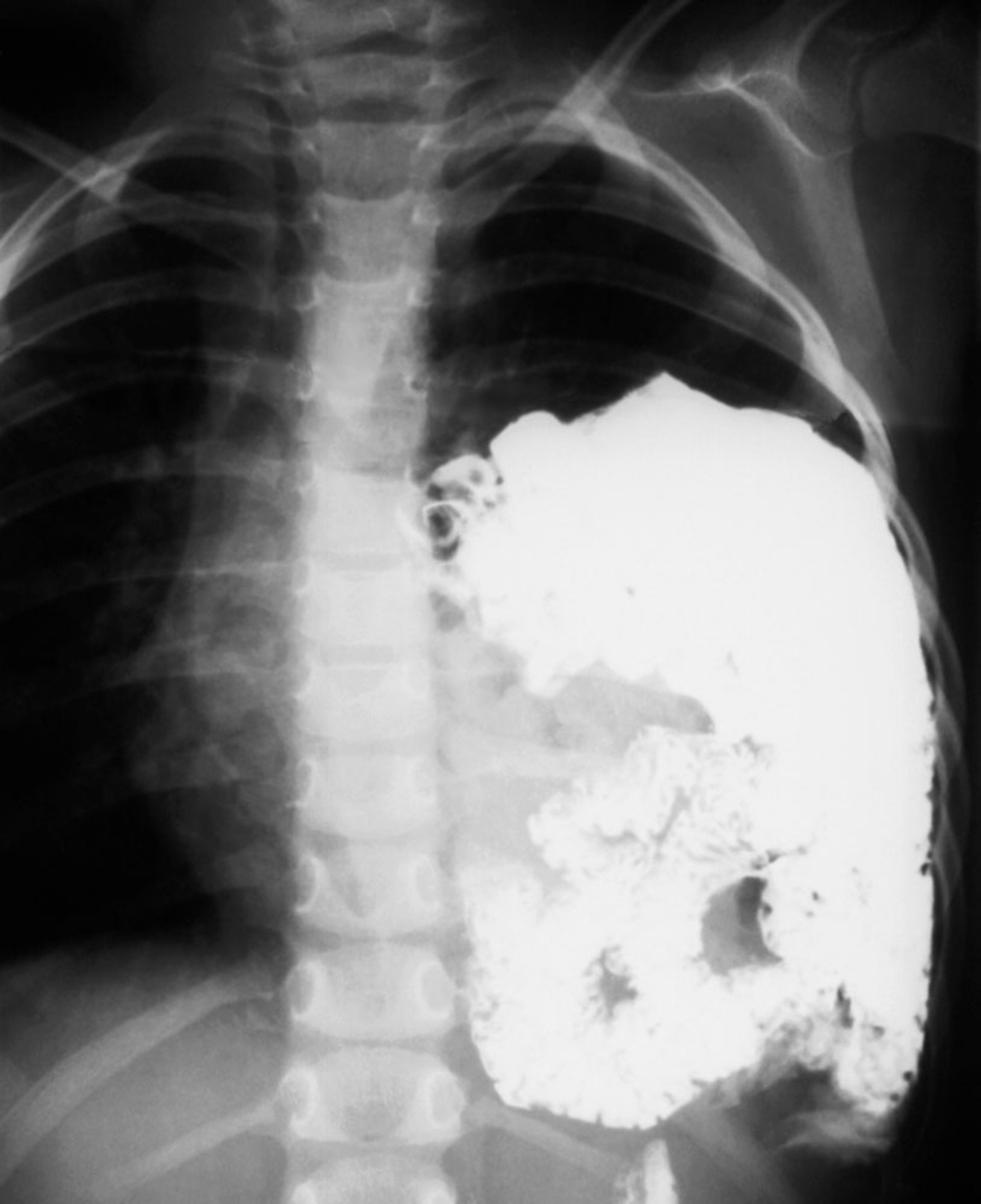
Hernie diaphragmatique
Masquer les détails

Cette radiographie montre une hernie diaphragmatique congénitale chez un nouveau-né. Les intestins (spirales blanches) font saillie dans le thorax gauche (côté droit de la radiographie).

DU CANE MEDICAL IMAGING LTD/SCIENCE PHOTO LIBRARY

Références pour le diagnostic

  1. 1. Cordier AG, Russo FM, Deprest J, et al. Prenatal diagnosis, imaging, and prognosis in congenital diaphragmatic hernia. Semin Perinatol. 2020;44(1):51163. doi:10.1053/j.semperi.2019.07.002

  2. 2. Zani A, Chung WK, Deprest J, et al. Congenital diaphragmatic hernia. Nat Rev Dis Primers. 2022;8(1):37. Published 2022 Jun 1. doi:10.1038/s41572-022-00362-w

  3. 3. Expert Panel on Gastrointestinal Imaging, Garcia EM, Pietryga JA, et al. ACR Appropriateness Criteria® Hernia. J Am Coll Radiol. 2022;19(11S):S329-S340. doi:10.1016/j.jacr.2022.09.016

Traitement de hernies diaphragmatiques

  • Parfois, chirurgie fœtale

  • Planification d'accouchement multidisciplinaire et prise en charge en soins critiques

  • Parfois l'oxygénation extracorporelle par membrane (ECMO)

  • Réparation chirurgicale

Si une hernie diaphragmatique est diagnostiquée chez le fœtus, il est recommandé d'accoucher dans un centre pédiatrique doté de la capacité d'oxygénation extracorporelle par membrane (ECMO) en raison de difficultés de transport inhérentes. L'occlusion trachéale endoluminale fœtoscopique (FETO) peut être réalisée chez des fœtus sélectionnés avant l'accouchement (entre environ 27 à 34 semaines d'âge gestationnel) pour induire la croissance pulmonaire; cette procédure est associée à un bénéfice de survie dans les cas sévères mais présente des risques significatifs (1).

Si une hernie diaphragmatique est suspectée chez un nouveau-né souffrant de détresse respiratoire, le nouveau-né doit immédiatement être intubé avec une sonde endotrachéale et ventilé en salle d'accouchement. La ventilation au masque et au ballon doit être évitée car elle peut remplir les viscères intra-thoraciques déplacés d'air et aggraver la détresse respiratoire. Une aspiration nasogastrique continue par une sonde double voie évite l'entrée d'air dans l'appareil digestif et l'aggravation de la compression pulmonaire.

Les soins critiques préopératoires impliquent une évaluation précoce et la prise en charge de l'hypertension pulmonaire avec l'oxyde nitrique inhalé et d'autres agents (2, 3). L'équilibre acido-basique, l'hémodynamique, l'oxygénation et la ventilation du nourrisson sont optimisés. L'insuffisance surrénalienne entraînant une hypotension résistante aux catécholamines est fréquente (4). Des stratégies ventilatoires conventionnelles ou alternatives, comme la ventilation à haute fréquence oscillatoire, peuvent être utilisées. L'oxygénation extracorporelle par membrane (ECMO) est couramment utilisée comme approche planifiée chez les nourrissons à plus haut risque présentant une hypoplasie pulmonaire sévère ou comme approche de sauvetage pour les nourrissons qui ont une hypoxémie réfractaire ou une insuffisance cardiorespiratoire combinée.

La chirurgie est nécessaire pour replacer le contenu abdominal dans l'abdomen et fermer le défaut diaphragmatique.

La prise en charge à long terme comprend des soins continus et multidisciplinaires pour les patients souffrant d'hypertension pulmonaire, de séquelles d'hypoplasie pulmonaire, de reflux gastro-œsophagien ou d'autres dysfonctions gastro-intestinales, d'insuffisance cardiaque ou d'anomalies neurodéveloppementales.

Pièges à éviter

  • Éviter la ventilation au ballon et au masque chez les nouveau-nés présentant une détresse respiratoire due à une hernie diaphragmatique, car elle peut aggraver le gonflement des viscères intra-thoraciques déplacés.

Références pour le traitement

  1. 1. Zani A, Chung WK, Deprest J, et al. Congenital diaphragmatic hernia. Nat Rev Dis Primers. 2022;8(1):37. Published 2022 Jun 1. doi:10.1038/s41572-022-00362-w

  2. 2. Puligandla P, Skarsgard E, Baird R, et al. Diagnosis and management of congenital diaphragmatic hernia: a 2023 update from the Canadian Congenital Diaphragmatic Hernia Collaborative. Arch Dis Child Fetal Neonatal Ed. 2024;109(3):239-252. Published 2024 Apr 18. doi:10.1136/archdischild-2023-325865

  3. 3. Snoek KG, Reiss IK, Greenough A, et al. Standardized Postnatal Management of Infants with Congenital Diaphragmatic Hernia in Europe: The CDH EURO Consortium Consensus - 2015 Update. Neonatology. 2016;110(1):66-74. doi:10.1159/000444210

  4. 4. Kamath BD, Fashaw L, Kinsella JP. Adrenal insufficiency in newborns with congenital diaphragmatic hernia. J Pediatr. 2010;156(3):495-497.e1. doi:10.1016/j.jpeds.2009.10.044

Points clés

  • Une hernie diaphragmatique congénitale peut permettre au contenu abdominal de pénétrer dans la cavité thoracique, de comprimer les poumons et de provoquer une détresse respiratoire néonatale.

  • L'hypoplasie pulmonaire et l'hypertension artérielle pulmonaire sont fréquentes.

  • Le diagnostic repose sur l'imagerie prénatale et sur la radiographie thoracique postnatale et l'imagerie en coupe transversale.

  • Traiter par intubation endotrachéale suivie d'une réparation chirurgicale; souvent, l'oxygénation extracorporelle par membrane est nécessaire.

quizzes_lightbulb_red
TESTEZ VOS CONNAISSANCESTake a Quiz!
ANDROID iOS
ANDROID iOS
ANDROID iOS