La diverticulite est l'inflammation avec ou sans l'infection d'un diverticule, qui peut entraîner un phlegmon de la paroi intestinale, une péritonite, une perforation, des fistules ou des abcès. Le symptôme principal est une douleur abdominale. Le diagnostic repose sur la TDM et l'échographie. Le traitement est basé sur le repos intestinal, parfois sur les antibiotiques et parfois la chirurgie.
Un diverticule colique est une poche en forme de sac de la muqueuse colique et de la sous-muqueuse qui passe à travers la couche musculaire du côlon; puisqu'il ne contient pas toutes les couches de l'intestin, il est considéré être un pseudodiverticule (voir aussi Définition de la maladie diverticulaire).
Beaucoup de sujets ont plusieurs diverticules coliques (diverticulose). Chez les sujets de > 50 ans, la diverticulite aiguë est plus fréquente chez les femmes; chez ceux de moins de 50 ans, elle est plus fréquente chez les hommes. La diverticulite distale est plus fréquente chez les Blancs (1).
Les patients infectés par le VIH et ceux sous chimiothérapie sont à risque accru de diverticulite aiguë (2).
Les diverticules sont généralement asymptomatiques, mais parfois certains deviennent inflammatoires (diverticulite). Une étude menée a révélé que 4,3% des patients qui ont une diverticulose documentée ont développé une diverticulite au cours d'une période de suivi de 11 ans (3).
La diverticulite qui est traitée de manière non opératoire peut récidiver comme un processus aigu ou chronique. Le risque d'épisode aigu récurrent peut atteindre 39%, bien que les taux signalés varient considérablement (4). Une grande étude basée sur la population a révélé qu'après un épisode de diverticulite aiguë, le taux de récidive à 1 an était de 8% et à 10 ans était de 22% (5). Chez certains patients, cependant, la récidive se manifeste par une douleur abdominale chronique et continue qui peut se développer après un ou plusieurs épisodes aigus.
Références générales
1. Gunby SA, Strate LL. Acute Colonic Diverticulitis. Ann Intern Med. 2024;177(3):ITC33-ITC48. doi:10.7326/AITC202403190
2. Francis NK, Sylla P, Abou-Khalil M, et al. EAES and SAGES 2018 consensus conference on acute diverticulitis management: Evidence-based recommendations for clinical practice. Surg Endosc. 2019;33(9):2726–2741. doi:10.1007/s00464-019-06882-z
3. Shahedi K, Fuller G, Bolus R, et al. Long-term risk of acute diverticulitis among patients with incidental diverticulosis found during colonoscopy. Clin Gastroenterol Hepatol. 2013;11(12):1609–1613. doi:10.1016/j.cgh.2013.06.020
4. Sallinen V, Mali J, Leppäniemi A, Mentula P. Assessment of risk for recurrent diverticulitis: A proposal of risk score for complicated recurrence. Medicine (Baltimore). 2015;94(8):e557. doi:10.1097/MD.0000000000000557
5. Bharucha AE, Parthasarathy G, Ditah I, et al. Temporal trends in the incidence and natural history of diverticulitis: A population-based study. Am J Gastroenterol. 2015;110(11):1589–1596. doi:10.1038/ajg.2015.302
Étiologie de la diverticulite colique
L'étiologie et la physiopathologie de la diverticulite ne sont pas entièrement comprises et peuvent varier selon les patients. On a longtemps supposé que la diverticulite se produisait lorsqu'une micro- ou une macroperforation se développaient dans un diverticule, libérant des bactéries intestinales et déclenchant une inflammation. Cependant, des données émergentes suggèrent que la diverticulite aiguë est plus inflammatoire qu'infectieuse chez certains patients. En outre, le cytomégalovirus peut être un déclencheur de cette inflammation; une réplication virale active a été observée dans le tissu du côlon affecté chez plus des deux tiers des patients qui ont une diverticulite.
Des études datant de 2017 ont suggéré une corrélation directe entre la consommation de viande rouge par semaine, le tabagisme, l'obésité et l'incidence de la diverticulite (1, 2). Les anti-inflammatoires non stéroïdiens, l'aspirine, les corticostéroïdes et les opioïdes augmentent également le risque de diverticulose et de diverticulite (3, 4). Il n'y a pas d'association entre la consommation de noix, de graines, de maïs ou de maïs soufflé et le développement d'une diverticulite comme on le pensait auparavant.
Il a été démontré que l'activité physique et les fibres alimentaires permettaient d'éviter la formation de diverticules et le développement de la diverticulite (3, 4).
Références pour l'étiologie
1. Cao Y, Strate LL, Keeley BR, et al: Meat intake and risk of diverticulitis among men. Gut pii: gutjnl-2016-313082, 2017. doi: 10.1136/gutjnl-2016-313082
2. Strate LL, Keeley BR, Cao Y, et al: Western dietary pattern increases, and prudent dietary pattern decreases, risk of incident diverticulitis in a prospective cohort study. Gastroenterology 152(5):1023–1030.e2, 2017. doi: 10.1053/j.gastro.2016.12.038
3. Bohm SK, Kruis W: Lifestyle and other risk factors for diverticulitis. Minerva Gastroenterol Dietol 63(2):110–118, 2017. doi: 10.23736/S1121-421X.17.02371-6
4. Schultz JK, Azhar N, Binda GA, et al: European Society of Coloproctology: Guidelines for the management of diverticular disease of the colon. Colorectal Dis 22 (supplement 2):S5–S28, 2020. doi: 10.1111/codi.15140
Classification de la diverticulite colique
Les diverticulites aigues peuvent être classées comme
Diverticulite aiguë non compliquée: c'est la manifestation la plus fréquente de la diverticulite aiguë
Diverticulite aiguë compliquée: cette manifestation est définie par la présence d'abcès, de fistules, d'obstructions, ou de perforations libres; 2 classifications existent (p. ex., voir tableau ) Environ 12% des patients qui ont une diverticulite présentent une maladie compliquée (1).
Des complications peuvent apparaître après la perforation d'un diverticule enflammé.
Environ 15% des patients qui ont une diverticulite aiguë compliquée ont un abcès péricolique ou intramésentérique (2).
Si la diverticulite aiguë ne guérit pas complètement, une diverticulite chronique se développera.
Les diverticulites chroniques peuvent être classées comme une
Diverticulite chronique non compliquée: définie comme un épaississement de la paroi colique ou une inflammation chronique de la muqueuse en l'absence de sténose
Diverticulite chronique compliquée: comprend une maladie sténosante qui peut entraîner une obstruction aiguë du côlon et la formation de fistules (le plus souvent vers la vessie)
Références sur la classification
1. Gunby SA, Strate LL. Acute Colonic Diverticulitis. Ann Intern Med. 2024;177(3):ITC33-ITC48. doi:10.7326/AITC202403190
2. Lambrichts DPV, Bolkenstein HE, van der Does DCHE, et al: Multicentre study of non-surgical management of diverticulitis with abscess formation. Br J Surg. 2019;106(4):458-466. doi:10.1002/bjs.11129
Symptomatologie de la diverticulite colique
Les patients ont une douleur et une sensibilité abdominales de la fosse iliaque gauche et ont souvent un sigmoïde palpable; la douleur est parfois sus-pubienne. Cependant, les patients asiatiques atteints de diverticulite présentent souvent une douleur du côté droit due à une atteinte du côlon droit. La douleur peut s'accompagner de nausées, de vomissements, de fièvre et parfois même de symptômes urinaires dus à une irritation de la vessie.
Des signes péritonéaux peuvent être présents (p. ex., douleur à la décompression ou défense), en particulier en cas d'abcès ou de perforation.
Les fistules peuvent se manifester sous la forme d'une pneumaturie, fécalurie (feces dans les urines), d'un écoulement vaginal fécaloïde, d'une infection cutanée ou aponévrotique de la paroi abdominale, du périnée ou de la partie supérieure de la jambe. En cas d'occlusion intestinale, les patients ont des nausées, des vomissements et une distension abdominale. Les hémorragies sont peu fréquentes.
Les épisodes récurrents de diverticulite aiguë sont comparables aux épisodes initiaux; ils ne sont pas nécessairement plus sévères.
Cette image montre un tissu de granulation (pointe de flèche) dépassant d'un diverticule unique enflammé avec une diverticulite.
Photo courtesy of Drs. Joel A. Baum and Rafael A. Ching Companioni.
Diagnostic de la diverticulite colique
TDM abdominale et pelvienne
Échographie au point d'intervention/au lit du malade
Coloscopie après résolution
La suspicion clinique est forte en cas de diverticulose connue chez un patient qui se présente avec des symptômes abdominaux caractéristiques. Cependant, d'autres pathologies (p. ex., appendicite, cancer du côlon ou de l'ovaire, maladie intestinale inflammatoire) peuvent entraîner des symptômes semblables, dès lors, des examens complémentaires sont nécessaires.
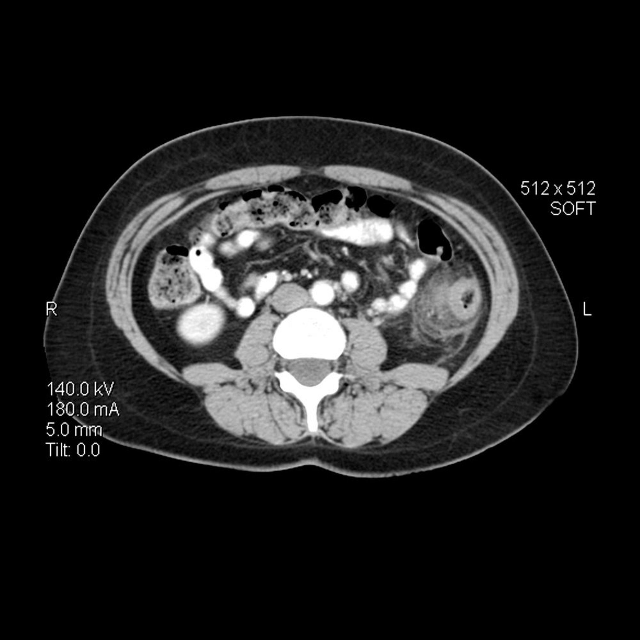
Dans cette image TDM axiale (en coupe transversale) de l'abdomen chez une personne atteinte de diverticulite, la paroi du côlon descendant est épaissie. Il existe également des stries inflammatoires avec une augmentation de la densité de la graisse péricolique adjacente.
LIVING ART ENTERPRISES, LLC/SCIENCE PHOTO LIBRARY
La diverticulite est évaluée par TDM de l'abdomen et du bassin avec un produit de contraste hydrosoluble administré par voie orale et par voie rectale; un produit de contraste IV est également administré lorsqu'il n'est pas contre-indiqué. Cependant, chez environ 10% des patients on ne peut pas distinguer la diverticulite du cancer du côlon. L'IRM est une alternative chez les femmes enceintes et les jeunes patients (1, 2).
L'échographie au point d'intervention/au lit du malade dans un service d'urgence ou en établissement de soins d'urgence pourrait être une option pour les personnes atteintes de diverticulite. Bien que l'échographie se soit avérée avoir une sensibilité (95%) et une spécificité (76%) élevées pour le diagnostic de la diverticulite par rapport à la TDM, elle est moins sensible (55%) pour distinguer la diverticulite compliquée de la diverticulite simple (3).
La coloscopie est souvent recommandée 1 à 3 mois après la résolution de l'épisode pour évaluer l'existence d'un cancer. Cependant, en l'absence de signes de haut risque (p. ex., diverticulite compliquée, diverticulite non compliquée avec anomalies à l'imagerie ou évolution atypique, antécédents familiaux de cancer colorectal, anémie, perte de poids), la probabilité de lésions malignes ou d'adénomes avancés après un épisode de diverticulite aiguë non compliquée est faible (2).
Références pour le diagnostic
1. Stewart DB. Review of the American Society of Colon and Rectal Surgeons clinical practice guidelines for the treatment of left-sided colonic diverticulitis. JAMA Surg. 2021;156(1):94–95. doi:10.1001/jamasurg.2020.5019
2. Francis NK, Sylla P, Abou-Khalil M, et al. EAES and SAGES 2018 consensus conference on acute diverticulitis management: Evidence-based recommendations for clinical practice. Surg Endosc. 2019;33(9):2726–2741. doi:10.1007/s00464-019-06882-z
3. Shokoohi H, Selame LA, Loesche MA, et al. Accuracy of "TICS" ultrasound protocol in detecting simple and complicated diverticulitis: A prospective cohort study. Acad Emerg Med. 2023;30(3):172-179. doi:10.1111/acem.14628
Traitement de la diverticulite colique
Varie selon la gravité
Parfois, antibiotiques
Drainage percutané de l'abcès sous guidage TDM
Parfois, intervention chirurgicale
Un patient qui n'est pas gravement malade est traité à domicile par du repos. Les symptômes disparaissent habituellement rapidement.
En cas de diverticulite non compliquée, un régime liquide clair pendant 2 à 3 jours est recommandé avec un régime pauvre en fibres lorsque la douleur diminue (1).
En cas de symptômes plus sévères (p. ex., douleur modérée à grave, fièvre, hyperleucocytose marquée), le patient doit être hospitalisé, de même que le patient qui prend de la prednisone (du fait d'un risque plus élevé de perforation et de péritonite généralisée). Le traitement est le repos au lit, rien par la bouche (chez les patients qui ont une diverticulite compliquée aiguë), et des liquides IV.
Antibiotiques
Les antibiotiques étaient traditionnellement recommandés dans tous les cas de diverticulite aiguë, qu'elle soit compliquée ou non. Cependant, des données suggèrent que les antibiotiques peuvent ne pas améliorer l'évolution de la diverticulite non compliquée; par conséquent, les patients qui sont par ailleurs en bonne santé et qui ont une diverticulite sigmoïde non compliquée peuvent parfois être traités en toute sécurité sans antibiotiques; une antibiothérapie doit être envisagée au cas par cas (1, 2).
L'antibiothérapie doit être utilisée chez les patients présentant une diverticulite aiguë compliquée, une immunosuppression, sepsis ou des comorbidités importantes.
Si des antibiotiques sont utilisés, ils doivent couvrir les bacilles Gram négatifs et les bactéries anaérobies.
Les protocoles antibiotiques oraux qui peuvent être administrés aux patients ambulatoires comprennent 7 à 10 jours de l'un des traitements suivants:
Métronidazole plus une fluoroquinolone (p. ex., ciprofloxacine)
Métronidazole plus une céphalosporine (p. ex., céphalexine)
Métronidazole plus triméthoprime/sulfaméthoxazole
Amoxicilline plus acide clavulanique
Moxifloxacine (en cas de contre-indications des pénicillines ou au métronidazole)
Les schémas d'antibiothérapie intraveineuse pour les patients hospitalisés sont sélectionnés en fonction de nombreux facteurs, notamment la gravité de la maladie, le risque d'effets indésirables (p. ex., autres maladies, âge avancé, immunosuppression) et la probabilité de la présence de microorganismes résistants. De nombreux protocoles existent, tels qu'une association de métronidazole plus une céphalosporine ou une fluoroquinolone. Les protocoles à un seul antibiotique comprennent l'ertapénème, la moxifloxacine, la ticarcilline/acide clavulanique, l'imipénème/cilastatine, le méropénème, le doripénème et la pipéracilline/tazobactam.
Il n'y a pas de normes bien définies reliant la taille de l'abcès à la nécessité d'un drainage chirurgical ou interventionnel (guidé par échographie ou TDM). Cependant, les petits abcès péricoliques (de moins de 2 à 3 cm de diamètre) disparaissent souvent avec des antibiotiques à large spectre et le repos intestinal seul.
Si la réponse est satisfaisante, le patient reste hospitalisé jusqu'à ce que les symptômes diminuent puis on réintroduit un régime alimentaire léger selon la tolérance. Après la résolution de l'épisode, les patients doivent suivre un régime alimentaire riche en fibres et éviter l'utilisation antalgique de routine d'anti-inflammatoires non stéroïdiens (AINS) ou de l'aspirine pour éviter les récidives.
Drainage percutané ou drainage endoscopique guidé par échographie
Le drainage percutané guidé par TDM ou par écho-endoscopie devient la norme de soins pour les plus gros abcès (plus de 3 cm de diamètre), pour les abcès qui ne disparaissent pas sous antibiotiques et/ou en cas de détérioration clinique. Cependant, les abcès multiloculés, inaccessibles ou ne s'améliorant pas après drainage nécessitent une intervention chirurgicale.
Chirurgie
La chirurgie est nécessaire immédiatement en cas de perforation libre ou en cas de suspicion de péritonite fécale sur l'examen clinique ou l'imagerie. D'autres indications de la chirurgie comprennent des symptômes sévères qui ne répondent pas au traitement non chirurgical dans les 3 à 5 jours et l'augmentation de la douleur, de la sensibilité et de la fièvre. Environ 15 à 20% des personnes hospitalisées pour diverticulite aiguë doivent être opérées pendant cette hospitalisation (3).
En cas de diverticulite non compliquée, la résection chirurgicale était auparavant recommandée en fonction du nombre de récidives. Actuellement, l'American Society of Colon and Rectal Surgeons (ASCRS) et d'autres lignes directrices cliniques recommande une évaluation au cas par cas plutôt qu'une colectomie segmentaire élective obligatoire après un deuxième épisode (4–8; voir aussi the Japan Gastroenterological Association's 2019 guidelines for colonic diverticular bleeding and colonic diverticulitis). Les patients chez qui les crises récurrentes présentent un risque plus élevé de décès ou de complications sont généralement considérés être candidats à la chirurgie.
En cas de diverticulite compliquée, les recommandations chirurgicales sont variables. Une colectomie segmentaire élective n'est pas systématiquement recommandée après un épisode de diverticulite aiguë compliquée (9). La chirurgie est recommandée en cas de diverticulite chronique compliquée où de fistules et d'abcès persistants.
La partie atteinte du côlon est réséquée. Les extrémités peuvent être anastomosées immédiatement chez le sujet par ailleurs en bonne santé qui ne présente pas de perforation, d'abcès ou d'inflammation importante. D'autres patients ont une colostomie temporaire associée à une anastomose pratiquée durant une opération ultérieure après la guérison de l'inflammation et l'amélioration de l'état général du patient.
Références pour le traitement
1. Gunby SA, Strate LL. Acute Colonic Diverticulitis. Ann Intern Med. 2024;177(3):ITC33-ITC48. doi:10.7326/AITC202403190
2. Peery AF, Shaukat A, Strate LL. AGA Clinical Practice Update on Medical Management of Colonic Diverticulitis: Expert Review. Gastroenterology. 2021;160(3):906-911.e1. doi:10.1053/j.gastro.2020.09.059
3. Wieghard N, Geltzeiler CB, Tsikitis VL. Trends in the surgical management of diverticulitis. Ann Gastroenterol. 2015;28(1):25–30.
4. Feingold D, Steele SR, Lee S, et al. Practice parameters for the treatment of sigmoid diverticulitis. Dis Colon Rectum. 2014;57:284–294. doi:10.1097/DCR.0000000000000075
5. Regenbogen SE, Hardiman KM, Hendren S, Morris AM. Surgery for diverticulitis in the 21st century: A systematic review. JAMA Surg. 2014;149(3):292–303. doi:10.1001/jamasurg.2013.5477
6. Comparato G, Di Mario F. Recurrent diverticulitis. J Clin Gastroenterol. 2008;42(10):1130–1134. doi:10.1097/MCG.0b013e3181886ee4
7. Young-Fadok TM. Diverticulitis. N Engl J Med. 2018;379(17):1635–1642. doi:10.1056/NEJMcp1800468
8. Hall J, Hardiman K, Lee S, et al. The American Society of Colon and Rectal Surgeons Clinical Practice Guidelines for the Treatment of Left-Sided Colonic Diverticulitis. Dis Colon Rectum. 2020;63(6):728-747. doi:10.1097/DCR.0000000000001679
9. Schultz JK, Azhar N, Binda GA, et al. European Society of Coloproctology: Guidelines for the management of diverticular disease of the colon. Colorectal Dis. 2020;22(supplement 2):S5–S28. doi:10.1111/codi.15140
Points clés
La diverticulite est une inflammation et/ou une infection d'un diverticule.
L'inflammation reste non compliquée chez la majeure partie des patients; les autres développent des abcès, une péritonite, des occlusions intestinales ou des fistules.
Diagnostiquer par TDM avec opacification orale, rectale et IV; effectuer une coloscopie 1 à 3 mois après l'épisode pour rechercher un cancer.
La prise en charge dépend de la gravité mais comprend généralement une action conservatrice, souvent des antibiotiques, avec parfois un drainage percutané ou guidé par échographie endoscopique ou une résection chirurgicale.
Plus d'information
Les sources d'information suivantes en anglais peuvent être utiles. S'il vous plaît, notez que LE MANUEL n'est pas responsable du contenu de ces ressources.
Japan Gastroenterological Association: Guidelines for colonic diverticular bleeding and colonic diverticulitis (2019)
American Society of Colon and Rectal Surgeons: Guidelines for the treatment of left-sided colonic diverticulitis (2020)
Colite segmentaire associée à une maladie diverticulaire
La colite segmentaire associée à la maladie diverticulaire correspond à l'inflammation chronique du côlon qui affecte la muqueuse interdiverticulaire. Le diagnostic repose sur l'endoscopie. Le traitement est symptomatique.
(Voir aussi Diverticulose colique.)
Colite segmentaire associée à la diverticulose et diverticulite chronique récurrente sont des termes utilisés pour décrire l'inflammation chronique du côlon attribuée à la diverticulose. La colite segmentaire associée à une diverticulose affecte généralement la muqueuse interdiverticulaire et est généralement présente sur le côté gauche tout en épargnant le rectum et le côlon ascendant.
La cause de la colite segmentaire associée à une maladie diverticulaire est inconnue et peut être multifactorielle. Un prolapsus muqueux, une stase fécale, une ischémie localisée, des altérations du microbiote intestinal et/ou une inflammation chronique peuvent jouer un rôle. On ne sait pas dans quelle mesure la relation entre la diverticulose et la colite est causale, du fait d'un facteur sous-jacent commun ou à d'une coïncidence: les caractéristiques histologiques présentent des similarités avec celles observées dans la maladie intestinale inflammatoire, la colite infectieuse et la colite ischémique. La prévalence de la colite segmentaire associée à une maladie diverticulaire chez les sujets atteintes de diverticulose est très faible (1%). La colite segmentaire associée à une maladie diverticulaire affecte généralement les hommes de > 60 ans (1).
Référence
1. Sbarigia C, Ritieni C, Annibale B, Carabotti M. Common Diagnostic Challenges and Pitfalls in Segmental Colitis Associated with Diverticulosis (SCAD). J Clin Med. 2023;12(18):6084. Published 2023 Sep 20. doi:10.3390/jcm12186084
Symptomatologie
Les symptômes de la colite segmentaire associée à une maladie diverticulaire comprennent une hématochézie, des douleurs abdominales basses, des modifications du transit et des diarrhées.
La fièvre, les nausées, les vomissements et la perte de poids sont des symptômes peu fréquents.
Diagnostic
Endoscopie
Le diagnostic de la colite segmentaire associée à une maladie diverticulaire est suggéré à l'endoscopie par une muqueuse érythémateuse, friable et granuleuse avec une distribution diffuse ou inégale touchant la muqueuse interdiverticulaire.
Traitement
Soulagement des symptômes
Le traitement de la colite segmentaire associée à une maladie diverticulaire est symptomatique; à ce jour, des essais cliniques randomisés de haute qualité n'ont pas été effectués.
Un traitement initial par les antibiotiques oraux ciprofloxacine et métronidazole est recommandé. Chez les patients qui ne s'améliorent pas sous antibiotiques, des préparations orales d'acide 5-aminosalicylique (5-ASA) peuvent être utilisées. Les corticostéroïdes (p. ex., prednisone) sont utilisés dans les cas réfractaires.
La chirurgie (colectomie segmentaire) est une option en cas de colite segmentaire associée à une maladie diverticulaire réfractaire aux corticostéroïdes ou corticodépendante.



