Primary amebic meningoencephalitis is a rare, usually fatal, acute central nervous system infection caused by the free-living ameba Naegleria fowleri. Symptoms include neurologic changes and usually a rapid progression to death. Diagnosis is primarily with cerebrospinal fluid analysis. Treatment is with miltefosine and other drugs.. Symptoms include neurologic changes and usually a rapid progression to death. Diagnosis is primarily with cerebrospinal fluid analysis. Treatment is with miltefosine and other drugs.
Naegleria fowleri inhabit soil and bodies of warm, fresh water worldwide; it does not live in salt water. N. fowleri can also live in hot springs, in warm water that is discharged from industrial plants, or in poorly maintained swimming pools with minimal or no chlorination. It can even grow in water heaters at temperatures up to 46° C and survive for short periods at higher temperatures.
In the United States, the majority of infections have occurred in southern states after exposure to warm, fresh water in lakes and rivers in the summer (1).
Swimming in contaminated water exposes nasal mucosa to the organism, which can enter the central nervous system (CNS) via olfactory neuroepithelium and the cribriform plate. Most patients are healthy children or young adults.
General reference
1. Centers for Disease Control and Prevention (CDC). About Naegleria fowleri Infections. Accessed March 24, 2025.
Pathophysiology of Primary Amebic Meningoencephalitis
The life cycle of N. fowleri involves 3 stages: cysts, trophozoites (the infective form), and flagellates.
Trophozoites can enter the body through the nasal mucosa. They then migrate to the brain (after penetrating the cribriform plate) via the olfactory nerves where they cause primary amebic meningoencephalitis.
In infected patients, trophozoites are found in cerebrospinal fluid (CSF) and tissues, and flagellates are occassionally found in CSF. Cysts are not seen in brain tissue.
1–3. The N. fowleri life cycle has 3 stages: cysts, trophozoites, flagellates.
4. The trophozoites replicate by promitosis (the nuclear membrane remains intact).
5–6. The trophozoites are the infective form. They can turn into temporary nonfeeding flagellates that usually revert back to trophozoites. Trophozoites infect humans or animals by penetrating the nasal mucosa, usually during swimming or sinus irrigation (5), and migrating to the brain (6) via the olfactory nerves, causing primary amebic meningoencephalitis (PAM). Trophozoites are found in cerebrospinal fluid (CSF) and tissue, whereas flagellates are occasionally found in CSF. Cysts are not seen in brain tissue.
Image from the Centers for Disease Control and Prevention, Global Health, Division of Parasitic Diseases and Malaria.
Symptoms and Signs of Primary Amebic Meningoencephalitis
Symptoms of primary amebic meningoencephalitis begin within 1 to 2 weeks of exposure, sometimes with alteration of smell and taste.
Fulminant meningoencephalitis ensues, with headache, meningismus, and mental status change, progressing to death within 10 days, usually due to cerebral herniation. Only a few patients have survived.
Diagnosis of Primary Amebic Meningoencephalitis
Cerebrospinal fluid (CSF) examination
Primary amebic meningoencephalitis is suspected based on history of swimming in fresh water, but confirmation is difficult because CT, MRI, and routine CSF tests, although necessary to exclude other causes, are nonspecific. Imaging findings typically show cerebral edema, hydrocephalus, and meningeal enhancement.
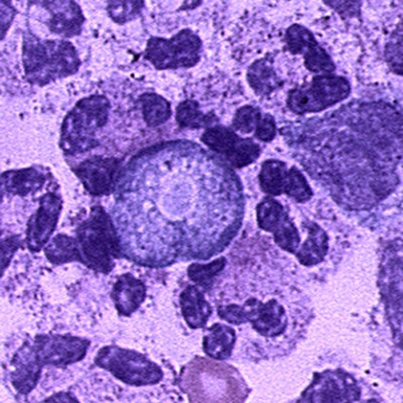
Wet mount of fresh CSF (not refrigerated or frozen) should be performed as soon as possible; it may demonstrate motile amebic trophozoites (which can be seen in Giemsa- and in hematoxylin and eosin–stained specimens but are destroyed by Gram stain techniques).
This image shows a trophozoite of N. fowleri in cerebrospinal fluid stained with hematoxylin and eosin.
CDC/DPDx
Immunohistochemistry, amebic culture, polymerase chain reaction of CSF, and/or brain biopsy are available in specialized reference laboratories. Consultation with the Centers for Disease Control and Prevention (CDC) or other experts in the diagnosis of amebic encephalitis is recommended.
Treatment of Primary Amebic Meningoencephalitis
Multiple drugs, including miltefosine plus antifungal drugs and antibioticsMultiple drugs, including miltefosine plus antifungal drugs and antibiotics
Optimal treatment is unclear, but it must be started as soon as possible. Consultation with experts at the CDC is recommended (Consultation with the Centers for Disease Control and Prevention (CDC)).
Treatment regimens should include the antileishmanial drug miltefosine, which has been used in combination with other drugs successfully to treat patients with primary amebic meningoencephalitis. Treatment regimens should include the antileishmanial drug miltefosine, which has been used in combination with other drugs successfully to treat patients with primary amebic meningoencephalitis.Miltefosine has also been used successfully to treat encephalitis due to Balamuthia, Sappinia, and Acanthamoeba; it is available commercially. Despite the possibility of miltefosine causing congenital anomalies, it may be considered for pregnant patients because primary amebic meningoencephalitis is usually fatal without treatment; therefore, the potential benefits of therapy may outweigh the risks to the fetus.
Other antimicrobial agents that have been used in combination treatment regimens for Naegleria include the following:
Amphotericin BAmphotericin B
RifampinRifampin
An azole (fluconazole, voriconazole, or ketoconazole)An azole (fluconazole, voriconazole, or ketoconazole)
Azithromycin or minocyclineAzithromycin or minocycline
Nitroxoline is an investigational drug that may be effective as part of combination therapy. In the United States, it is available through the CDC (1).
Antiseizure drugs and dexamethasone are often needed to control seizures and cerebral edema (and dexamethasone are often needed to control seizures and cerebral edema (2). IV administration of mannitol or hypertonic saline may be necessary to achieve control. Aggressive management of cerebral edema with therapeutic hypothermia (cooling the body below normal body temperature) has also been associated with survival and neurologic recovery in the few patients who have survived (). IV administration of mannitol or hypertonic saline may be necessary to achieve control. Aggressive management of cerebral edema with therapeutic hypothermia (cooling the body below normal body temperature) has also been associated with survival and neurologic recovery in the few patients who have survived (3).
Treatment references
1. Chao-Pellicer J, Arberas-Jiménez I, Fuchs F, et al. Repurposing of Nitroxoline as an Alternative Primary Amoebic Meningoencephalitis Treatment. Antibiotics (Basel). 2023;12(8):1280. Published 2023 Aug 3. doi:10.3390/antibiotics12081280
2. Anwar A, Rajendran K, Siddiqui R, Raza Shah M, Khan NA. Clinically Approved Drugs against CNS Diseases as Potential Therapeutic Agents To Target Brain-Eating Amoebae. ACS Chem Neurosci. 2019;10(1):658-666. doi:10.1021/acschemneuro.8b00484
3. Pugh JJ, Levy RA. Naegleria fowleri: Diagnosis, Pathophysiology of Brain Inflammation, and Antimicrobial Treatments. ACS Chem Neurosci. 2016;7(9):1178-1179. doi:10.1021/acschemneuro.6b00232
Key Points
Primary amebic meningoencephalitis is rare and usually fatal.
The infection is acquired when swimming in contaminated fresh water; Naegleria fowleri enters the central nervous system via olfactory neuroepithelium and the cribriform plate.
Diagnostic tests should include a wet mount and Giemsa-stained specimen of cerebrospinal fluid; brain biopsy and immunohistochemistry may be needed to confirm the diagnosis.
Treat the infection with multiple antimicrobial agents, including miltefosine; if needed, treat seizures and cerebral edema with antiseizure drugs and dexamethasone.Treat the infection with multiple antimicrobial agents, including miltefosine; if needed, treat seizures and cerebral edema with antiseizure drugs and dexamethasone.
Survival is rare but has been attributed to early diagnosis and treatment in combination with aggressive management of cerebral edema.
Drug Information for the Topic



